Rein du myélome
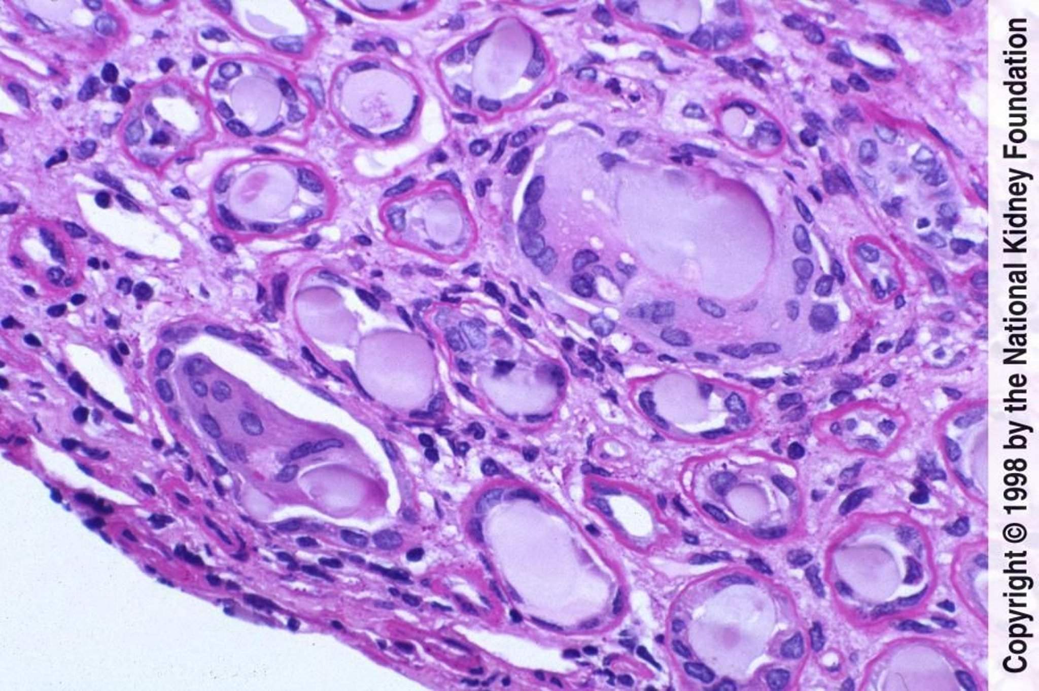
Le myélome rénal est une maladie tubulo-interstitielle provoquée par le dépôt de chaînes légères et la formation de cylindres obstructifs dans les tubules rénaux. La biopsie montre des cylindres tubulaires avec autour une réaction à cellules géantes syncytiales, une néphrite tubulo-interstitielle chronique avec infiltrat lymphocytaire et une fibrose (coloration à l'acide périodique Schiff, grossissement initial ×400).
Image fournie par Agnes Fogo, MD, and the American Journal of Kidney Diseases' Atlas of Renal Pathology (voir www.ajkd.org).
Dans ces sujets
