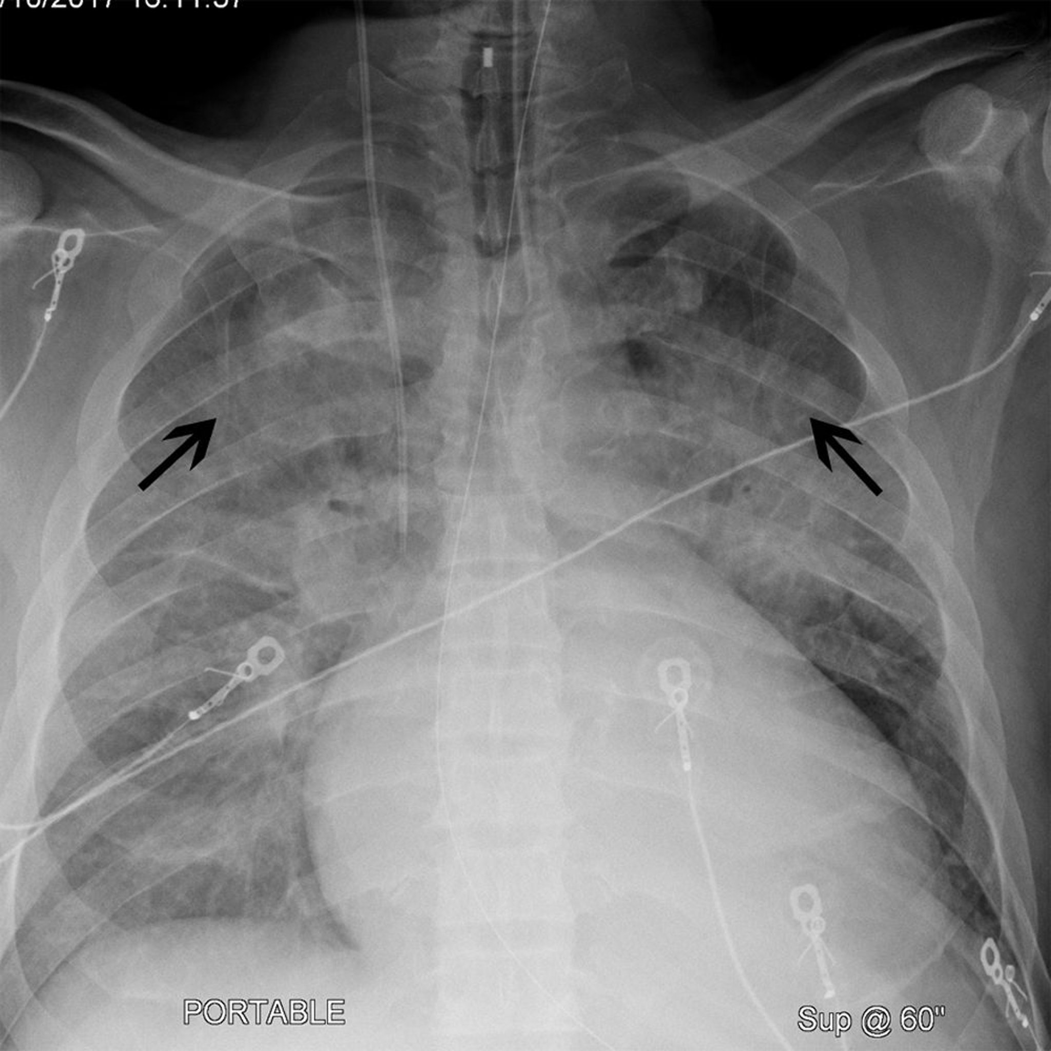
Radiographie pulmonaire d'un patient présentant une cardiomégalie et une céphalisation
Ce patient a une cardiomégalie (largeur de la silhouette cardiaque est > 50% de la cage thoracique sur une radiographie de thorax de face). Le patient présente également une céphalisation (flèches noires) par laquelle les vaisseaux pulmonaires du lobe supérieur deviennent plus visibles. Ces signes sont souvent observés en cas d'insuffisance cardiaque.
© 2017 Elliot K. Fishman, MD.
Dans ces sujets
