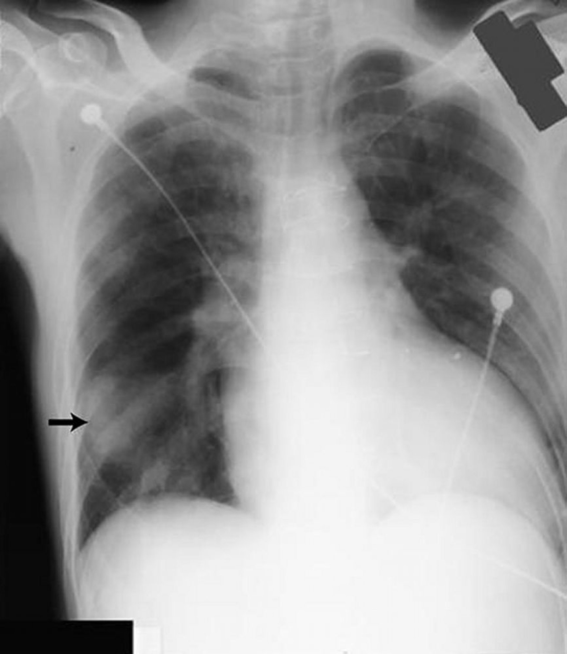
Pseudotumeur pulmonaire
L'opacité dans le champ pulmonaire inférieur droit (flèche) ressemble à une masse solide mais a été provoquée par du liquide dans la grande scissure chez un patient souffrant d'insuffisance cardiaque.
By permission of the publisher. From Huggins J, Sahn S. In Bone's Atlas of Pulmonary and Critical Care Medicine. Edited by J Crapo. Philadelphia, Current Medicine, 2005.
Dans ces sujets
