Pneumothorax compressif
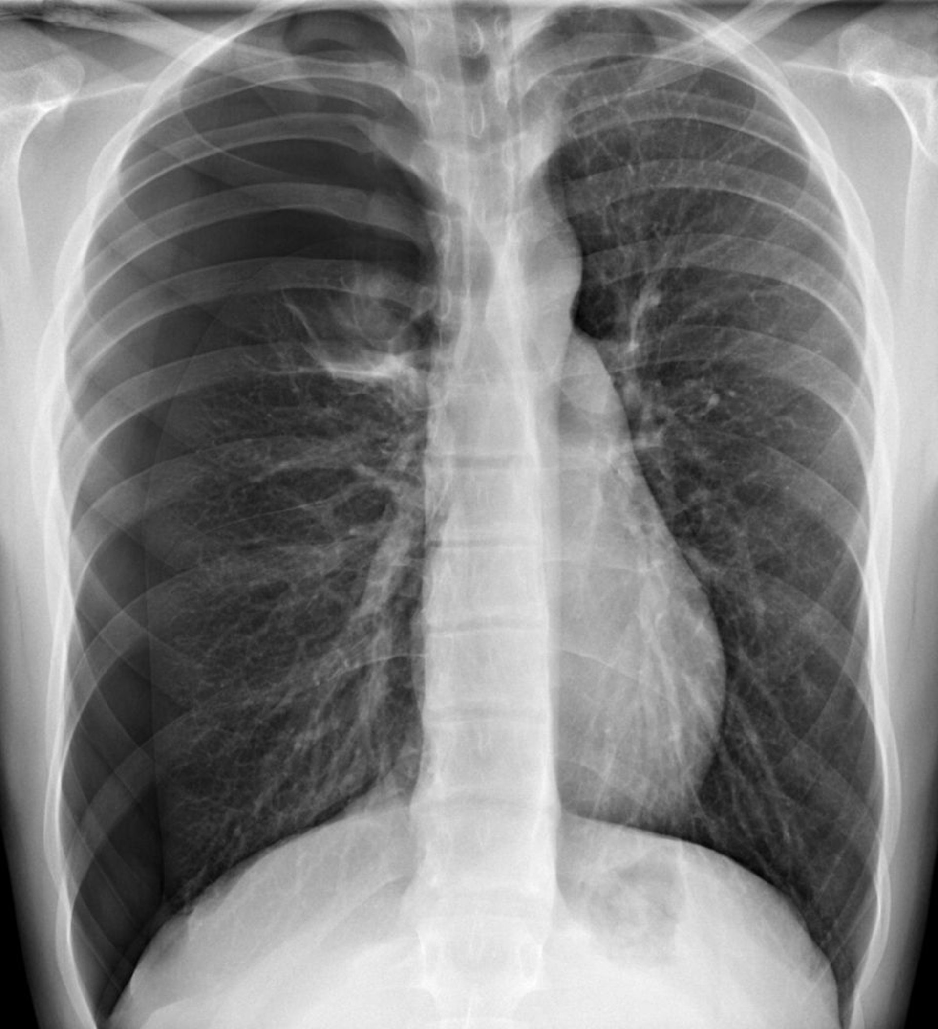
Dans cette image, un pneumothorax est visible dans l'hémithorax droit, où, à la périphérie, il n'y a pas de marques pulmonaires. Un déplacement du cœur et du médiastin vers le côté gauche peut entraîner les effets physiologiques du pneumothorax compressif. Le pneumothorax compressif doit être diagnostiqué sur les signes cliniques.
DU CANE MEDICAL IMAGING LTD/SCIENCE PHOTO LIBRARY
Dans ces sujets
