Pneumopathie cryptogénétique organisée
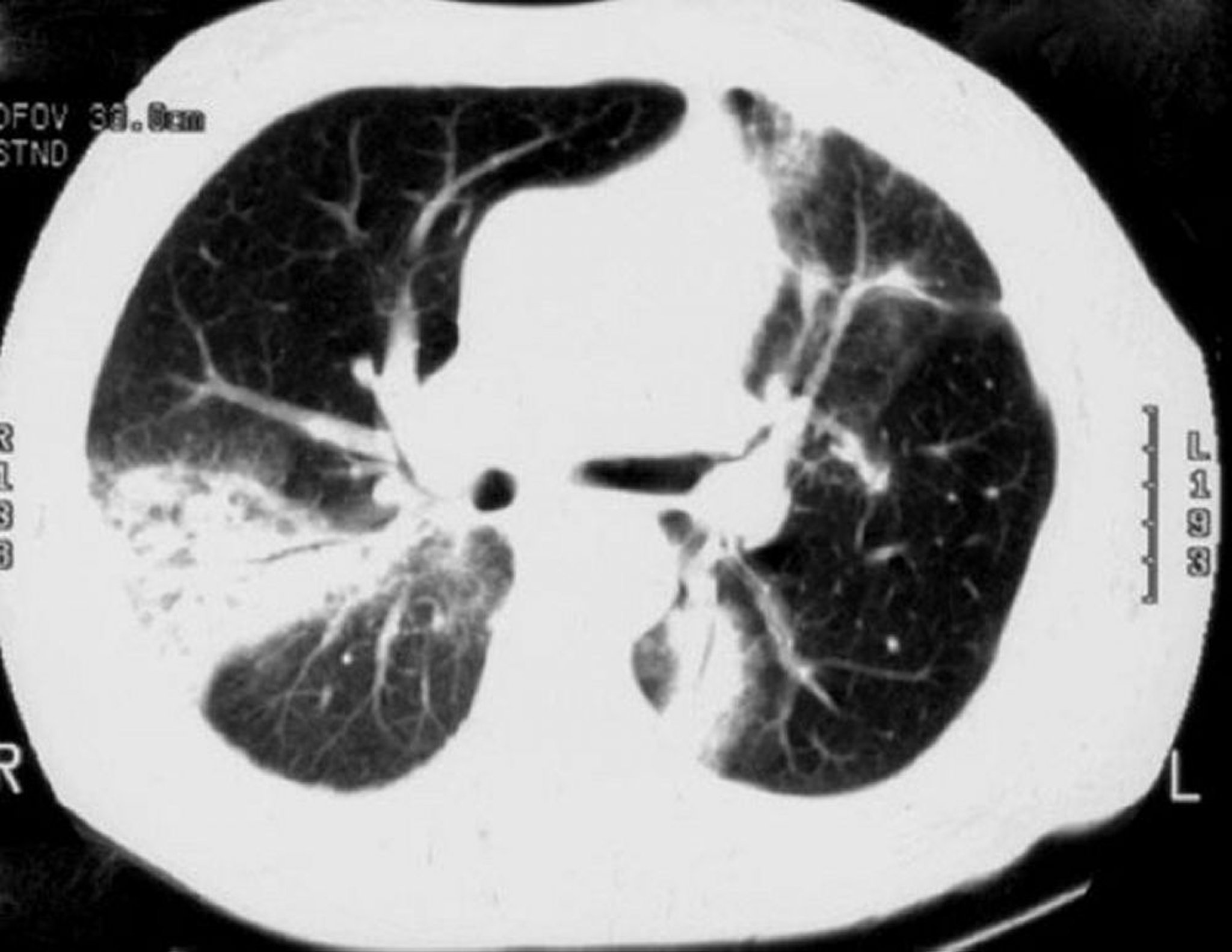
La TDM à haute résolution montre des plages de condensation pulmonaire, des opacités en verre dépoli, ainsi qu'une dilatation des bronches et un épaississement de leurs parois.
Image courtoisie de Talmadge E. King, MD.
Dans ces sujets
