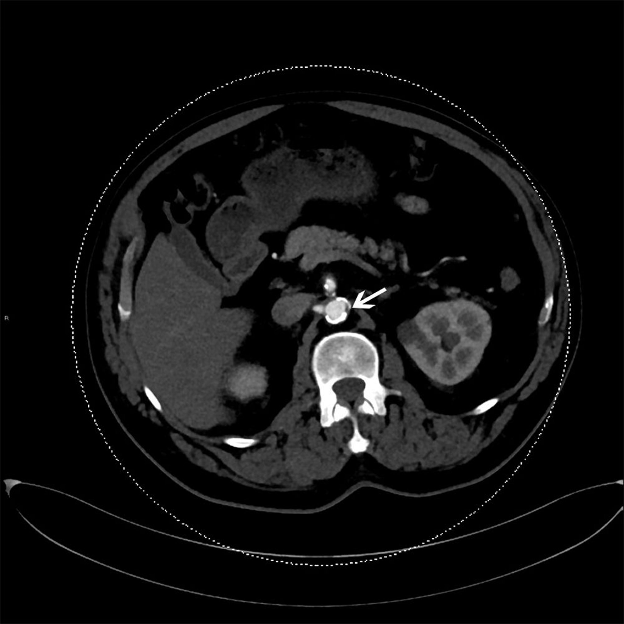
Plaque athéroscléreuse dans l'aorte descendante
Cette TDM avec contraste montre une plaque d'athérosclérose dans l'aorte descendante (flèche).
© Springer Science+Business Media
Dans ces sujets
Cette TDM avec contraste montre une plaque d'athérosclérose dans l'aorte descendante (flèche).
© Springer Science+Business Media