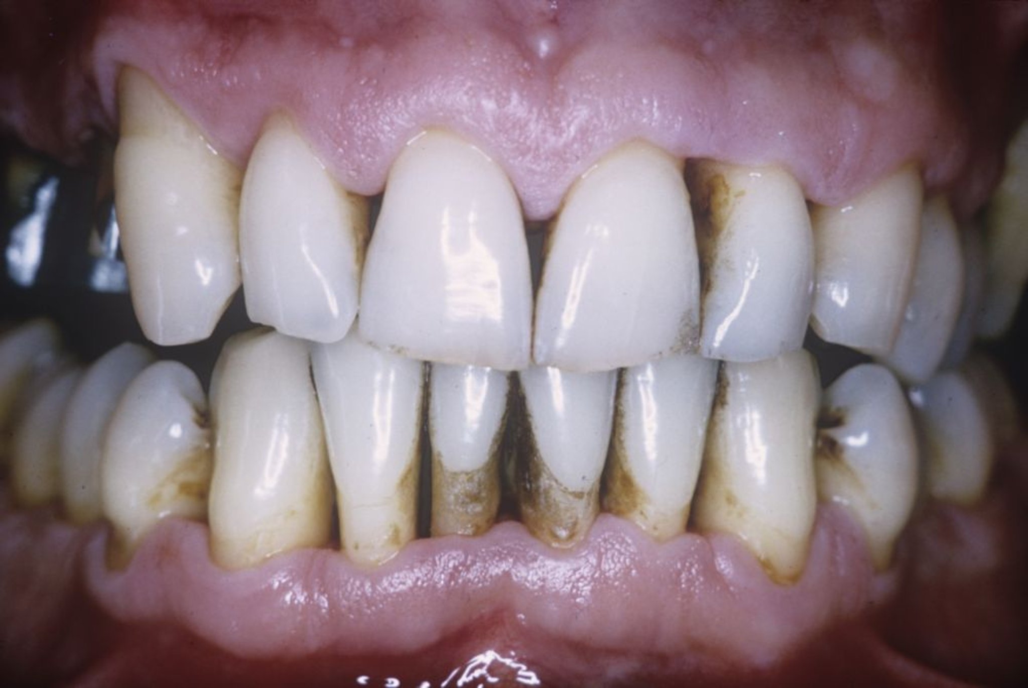
Parodontite (perte des tissus de soutien de la dent)
Cette photo montre un gros plan de la perte tissulaire des gencives chez une personne atteinte de maladie parodontale. La maladie parodontale a provoqué une perte de tissu gingival et osseux autour des dents.
Dr. W. GREEN/CNRI/SCIENCE PHOTO LIBRARY
Dans ces sujets
