Occlusion de l'intestin grêle (radiographie debout)
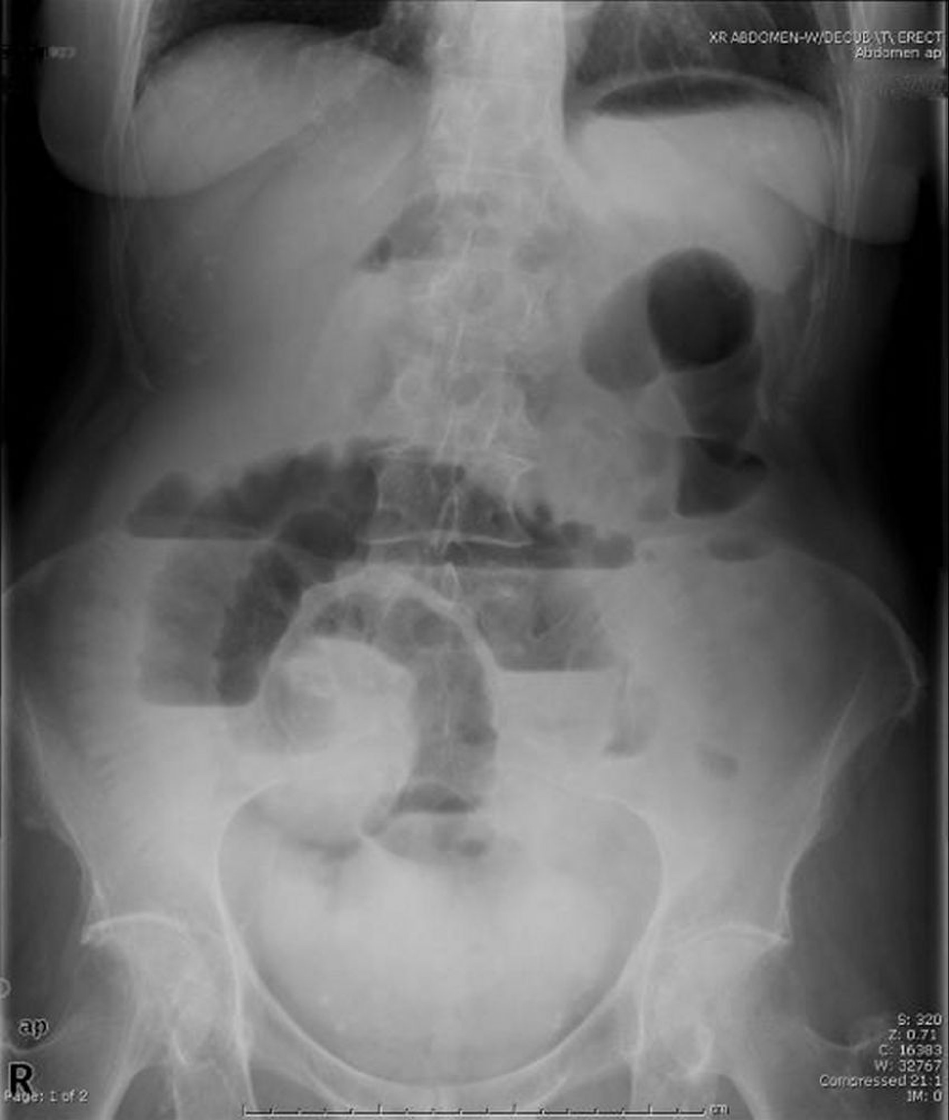
Cette radiographie abdominale en position debout montre une obstruction de l'intestin grêle. Notez les multiples niveaux air-liquide.
Image provided by Parswa Ansari, MD.
Dans ces sujets
Cette radiographie abdominale en position debout montre une obstruction de l'intestin grêle. Notez les multiples niveaux air-liquide.
Image provided by Parswa Ansari, MD.