Neurocysticercose
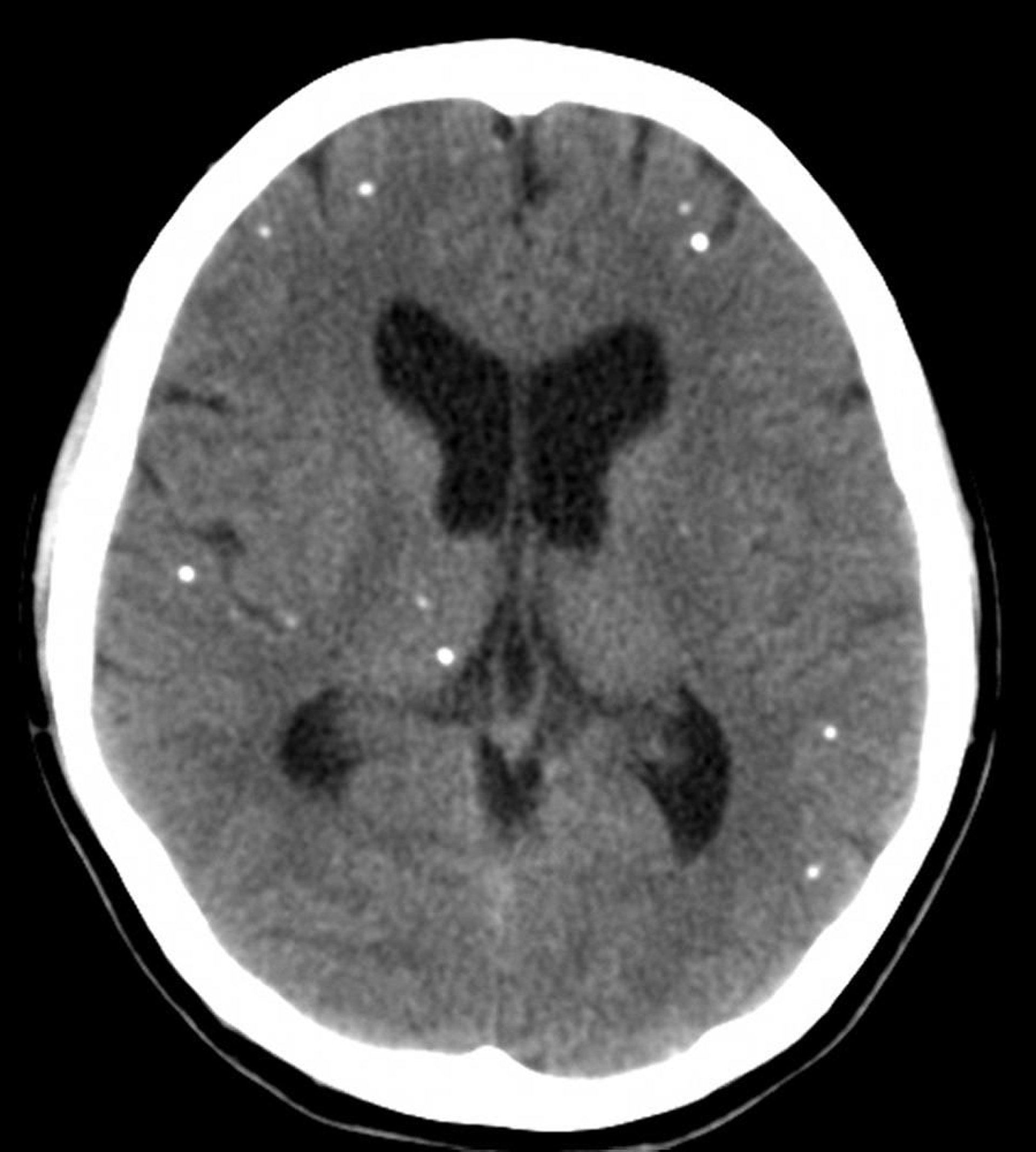
Cette TDM montre des calcifications multifocales représentant des kystes calcifiés chez un patient atteint de neurocysticercose.
Courtesy of John E. Greenlee, MD.
Dans ces sujets
Cette TDM montre des calcifications multifocales représentant des kystes calcifiés chez un patient atteint de neurocysticercose.
Courtesy of John E. Greenlee, MD.