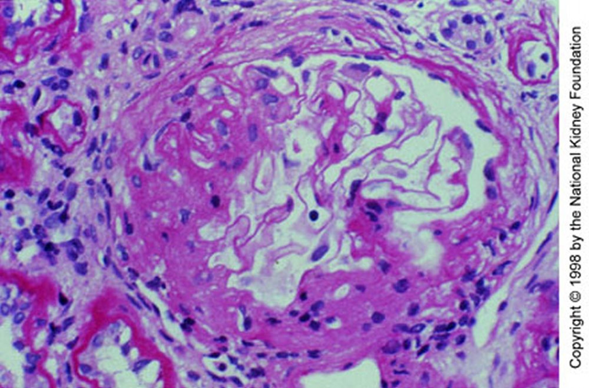
Néphropathie à IgA (expansion mésangiale)
Expansion mésangiale avec sclérose segmentaire (coloration à l'acide périodique Schiff, ×200).
Image fournie par Agnes Fogo, MD, and the American Journal of Kidney Diseases' Atlas of Renal Pathology (voir www.ajkd.org).
Dans ces sujets
