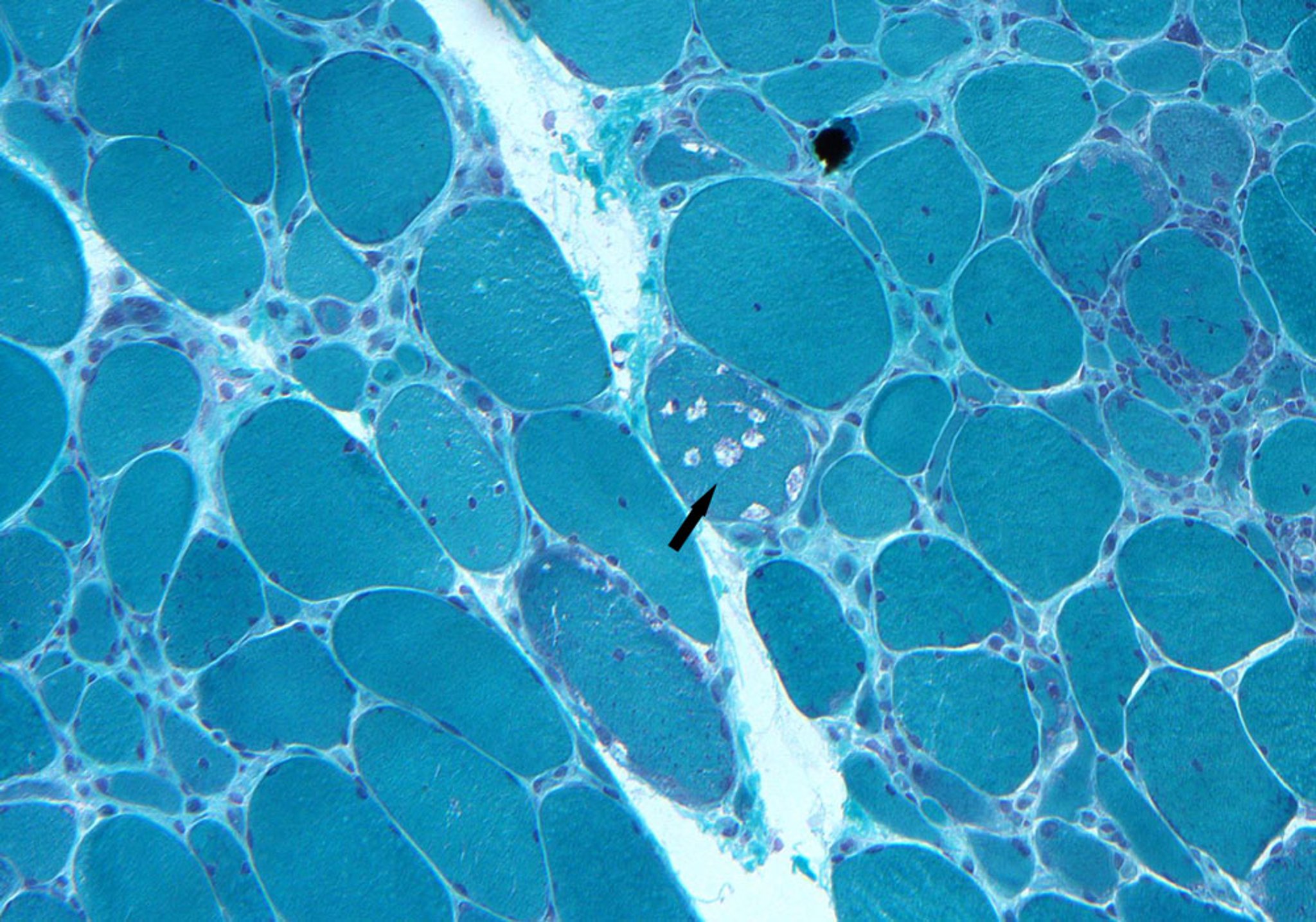
Myosite à corps d'inclusion

Myosite à corps d'inclusion

Cette biopsie montre des infiltrats endomysiaux, une dégénérescence myofibrillaire et des vacuoles bordées (flèche).

Photo courtesy of Kinanah Yaseen, MD.