Malocclusion
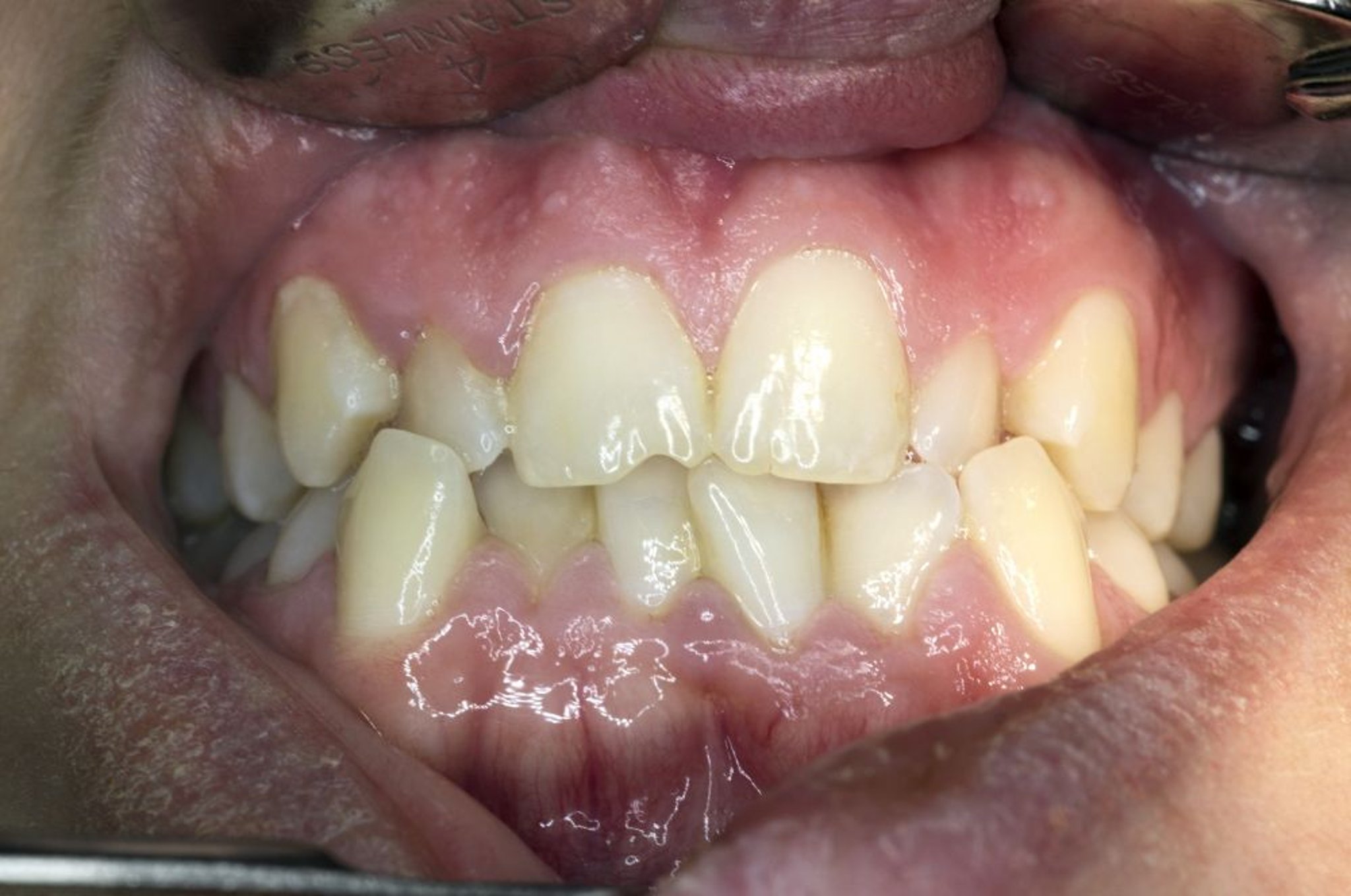
Cette photo montre un mauvais alignement entre les dents supérieures et inférieures lorsque la mâchoire est fermée.
DR ARMEN TARANYAN/SCIENCE PHOTO LIBRARY
Dans ces sujets
Cette photo montre un mauvais alignement entre les dents supérieures et inférieures lorsque la mâchoire est fermée.
DR ARMEN TARANYAN/SCIENCE PHOTO LIBRARY