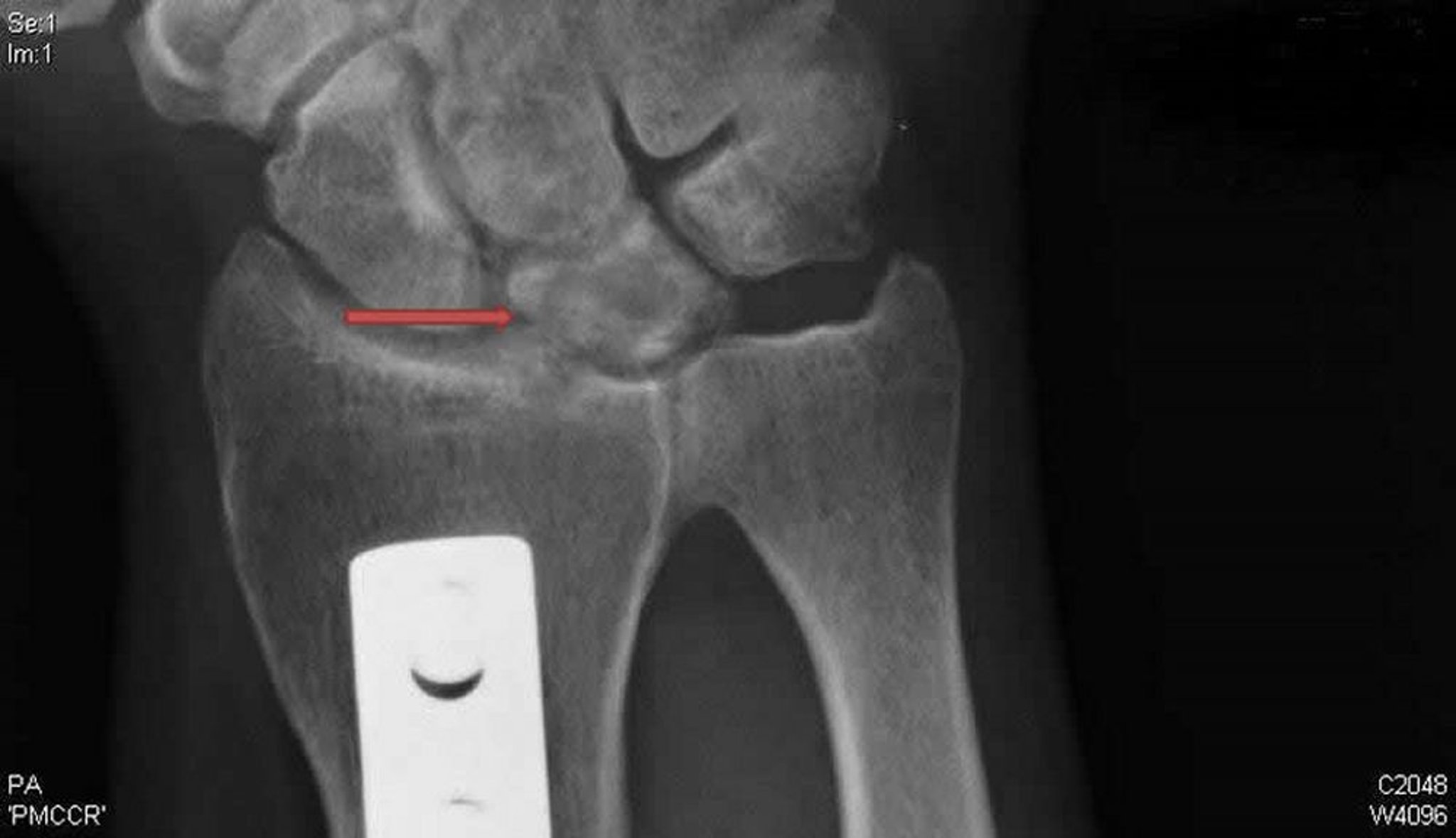
Maladie de Kienböck (radiographie de face)
Cette radiographie de face du poignet droit montre des kystes et une sclérose de l'os lunaire (flèche) typique de la maladie de Kienböck. La plaque de métal prouve une ostéotomie de raccourcissement radial effectuée pour décharger le semi-lunaire et potentiellement traiter cette maladie.
Rx courtoisie de David R. Steinberg, MD.
Dans ces sujets
