Métastases cérébrales
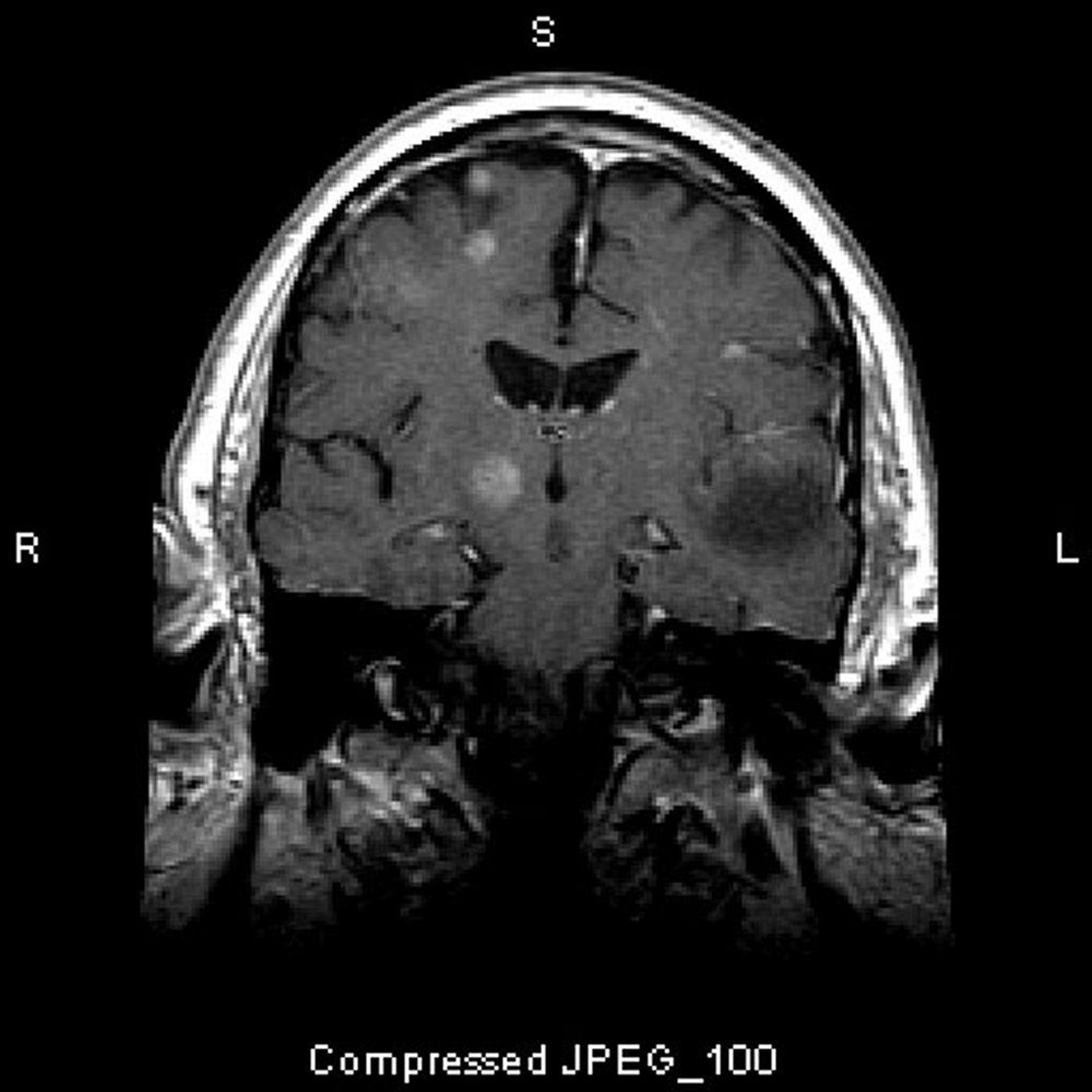
Cette IRM montre de multiples lésions cérébrales, représentant des tumeurs métastatiques. Plus de 80% des métastases cérébrales sont multiples.
Image courtoisie de William R. Shapiro, MD.
Dans ces sujets
Cette IRM montre de multiples lésions cérébrales, représentant des tumeurs métastatiques. Plus de 80% des métastases cérébrales sont multiples.
Image courtoisie de William R. Shapiro, MD.