Méningiome parasagittal
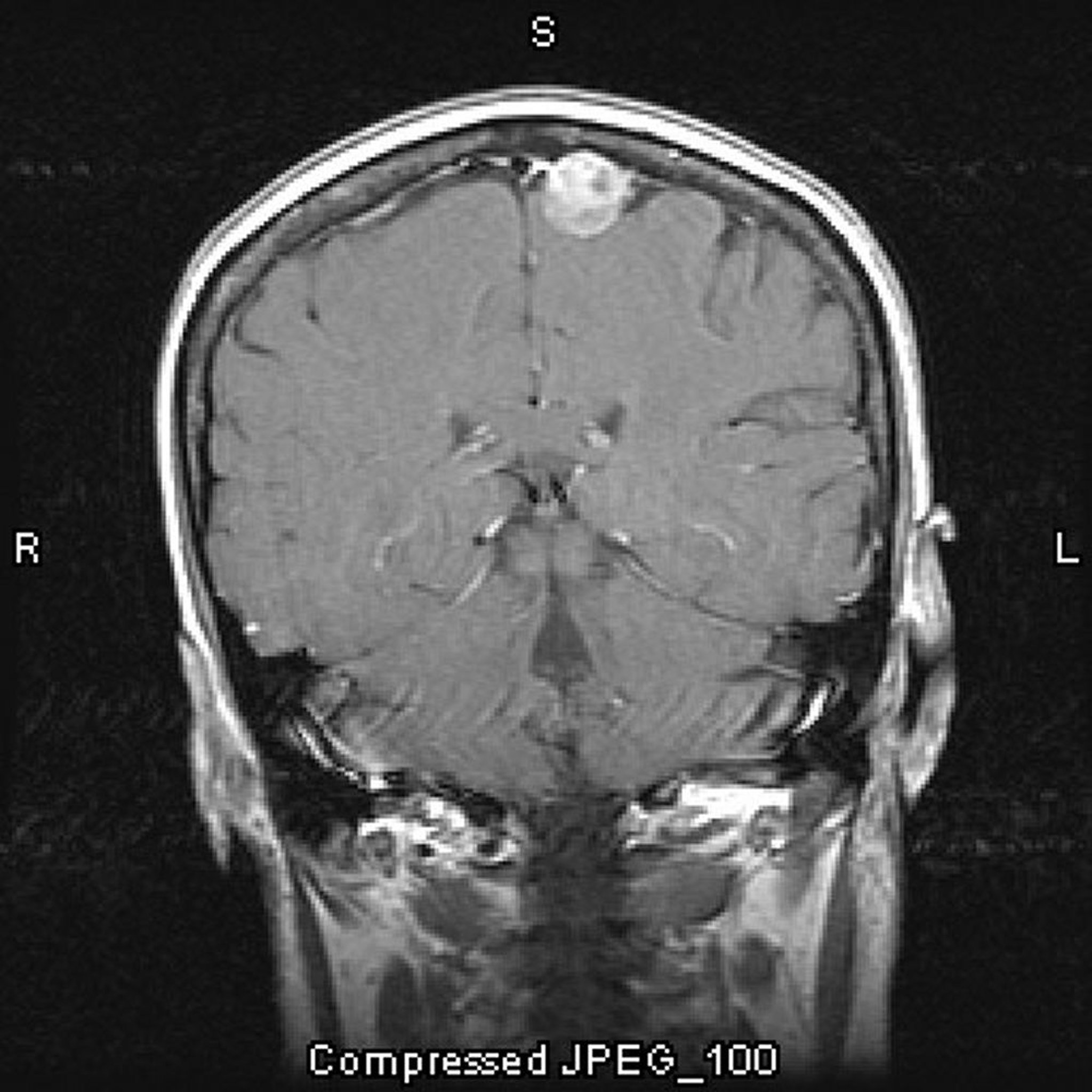
Cette IRM avec injection de produit de contraste montre un méningiome. L'emplacement parasagittal est typique des méningiomes.
Image courtoisie de William R. Shapiro, MD.
Dans ces sujets
Cette IRM avec injection de produit de contraste montre un méningiome. L'emplacement parasagittal est typique des méningiomes.
Image courtoisie de William R. Shapiro, MD.