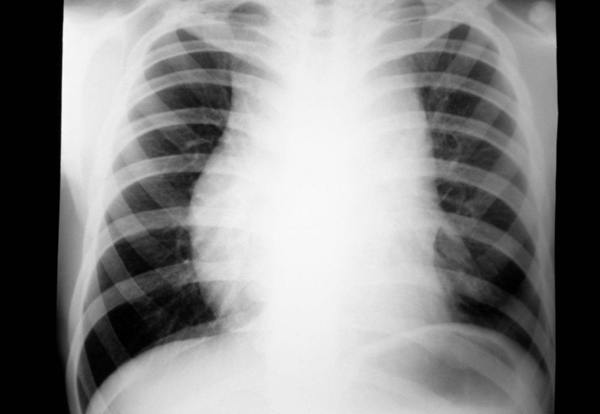
Lymphome de Hodgkin (adénopathie médiastinale)
Radiographie thoracique d'un patient atteint d'un lymphome de Hodgkin montrant une adénopathie médiastinale.
DR P. MARAZZI/SCIENCE PHOTO LIBRARY
Dans ces sujets
Radiographie thoracique d'un patient atteint d'un lymphome de Hodgkin montrant une adénopathie médiastinale.
DR P. MARAZZI/SCIENCE PHOTO LIBRARY