Luxation péri-lunaire
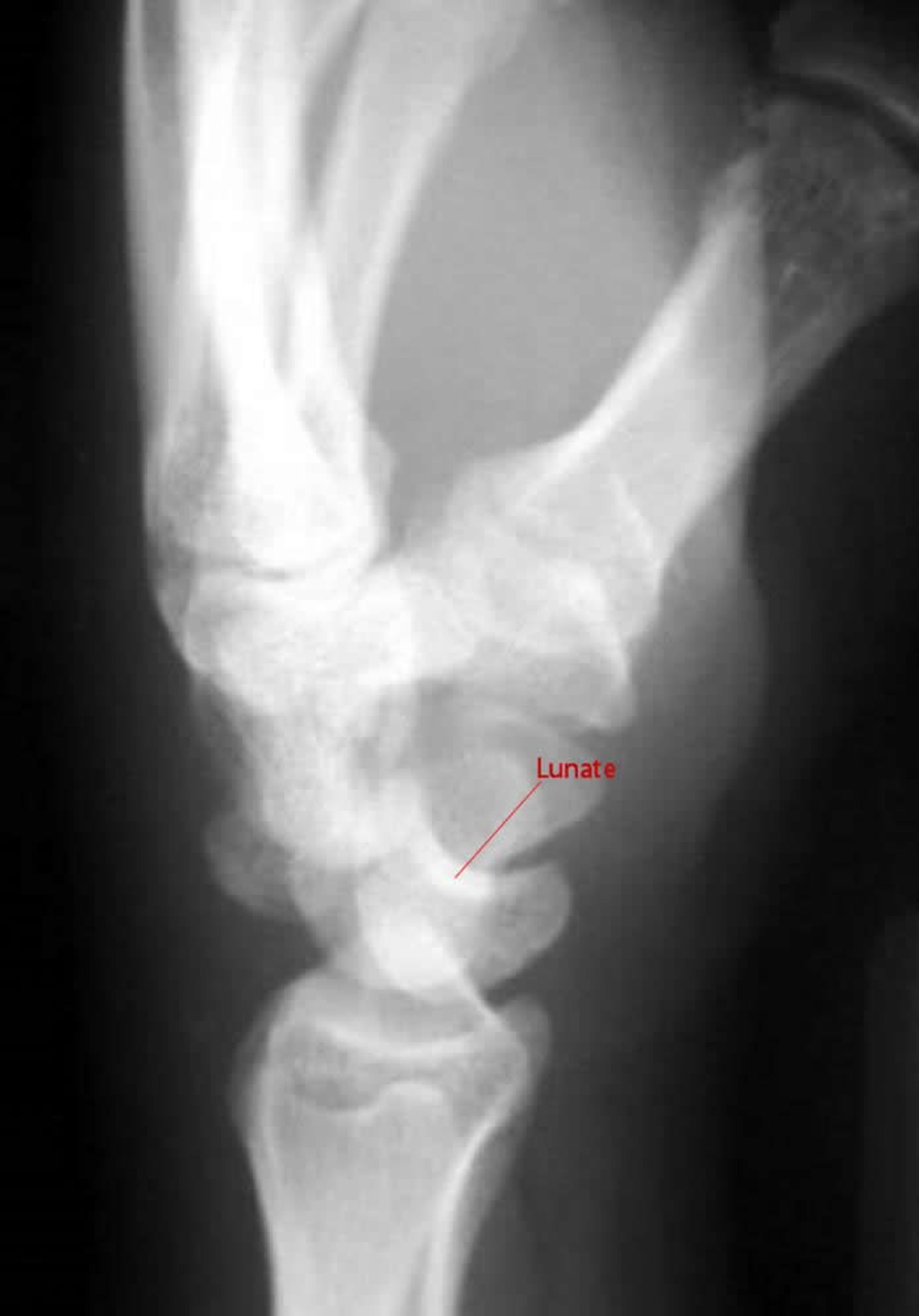
Sur une incidence latérale d'une luxation péri-lunaire, le capité ne s'articule pas avec le semi-lunaire.
Image courtoisie de Danielle Campagne, MD.
Dans ces sujets
Sur une incidence latérale d'une luxation péri-lunaire, le capité ne s'articule pas avec le semi-lunaire.
Image courtoisie de Danielle Campagne, MD.