Ischémie mésentérique (Angio-TDM)
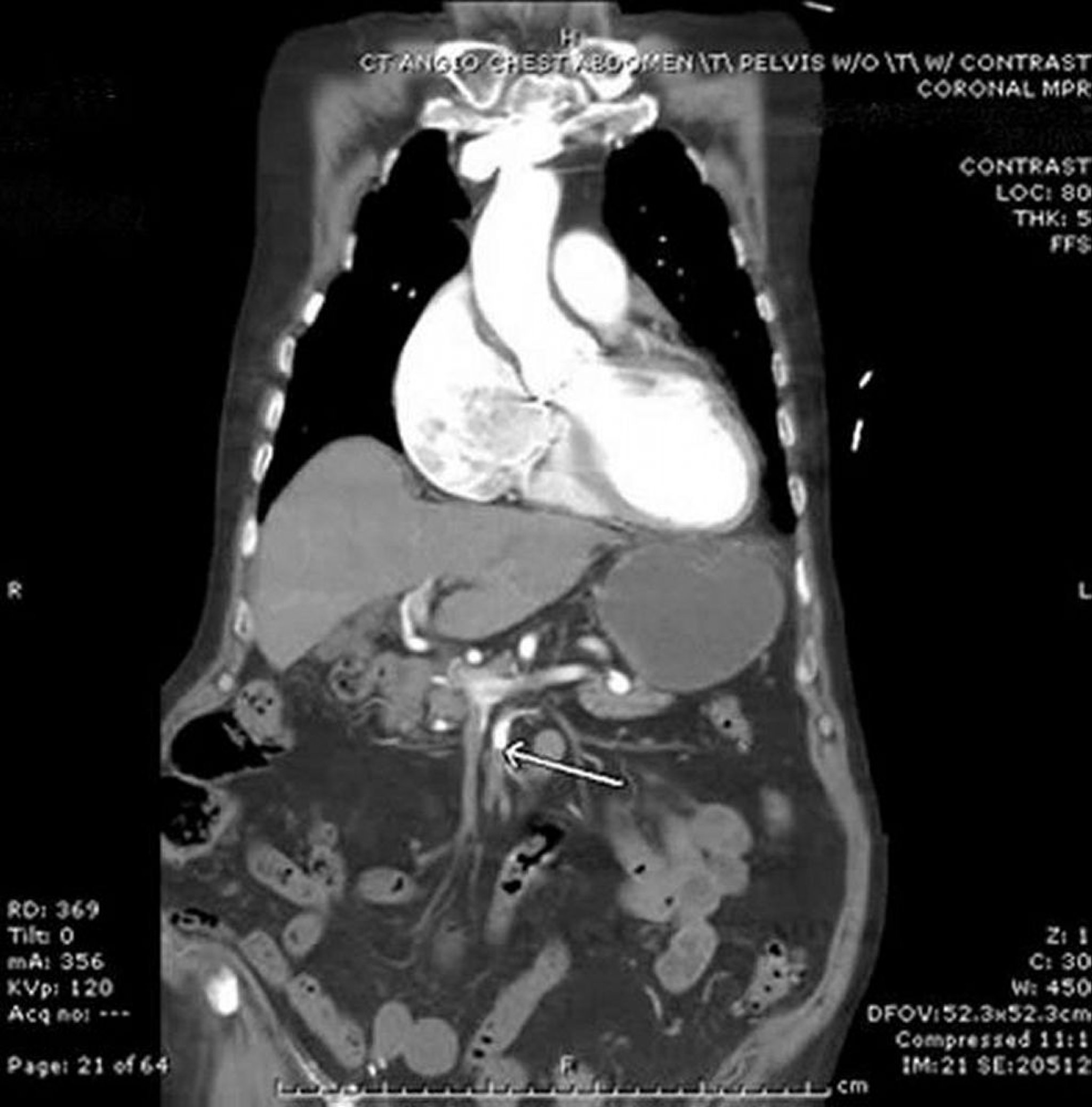
Dans cette image, la flèche pointe vers l'artère mésentérique supérieure, qui présente une interruption brusque du contraste IV. On observe un épaississement de l'intestin grêle dans l'abdomen gauche. Ce cas d'embolie est d'origine cardiaque chez un patient qui a une fibrillation auriculaire.
Image provided by Parswa Ansari, MD.
Dans ces sujets
