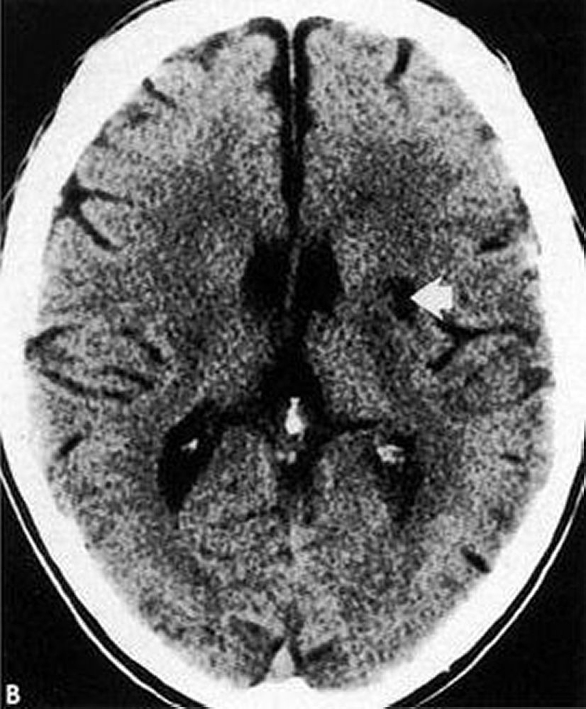
Infarctus lacunaire
Cette TDM montre un infarctus lacunaire de faible densité et bien défini (flèche) dans les noyaux gris centraux.
By permission of the publisher. From Geremia G, Greenlee W. In Atlas of Cerebrovascular Disease. Edited by PB Gorelick and MA Sloan. Philadelphia, Current Medicine, 1996.
Dans ces sujets
