Histiocytose pulmonaire à cellules de Langerhans
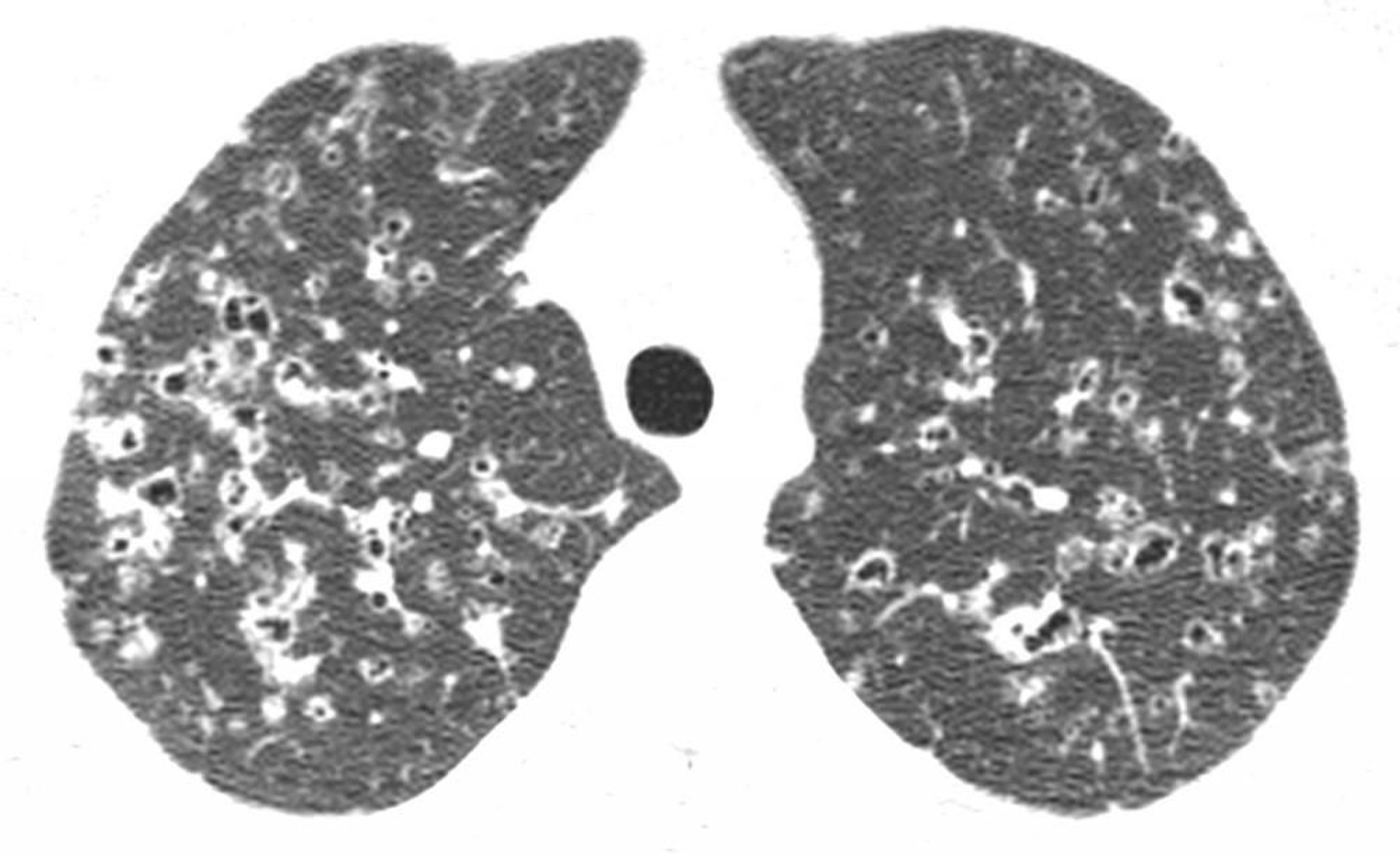
La TDM à haute résolution à travers les lobes supérieurs montre des nodules et des kystes de densité aérienne irrégulière, habituellement dans les régions supérieure et moyenne du poumon. Ces signes sont caractéristiques de l'histiocytose à cellules de Langerhans chez un patient qui a des antécédents de tabagisme.
Image courtoisie de Harold R. Collard, MD.
Dans ces sujets
