Hémorragie sous-arachnoïdienne
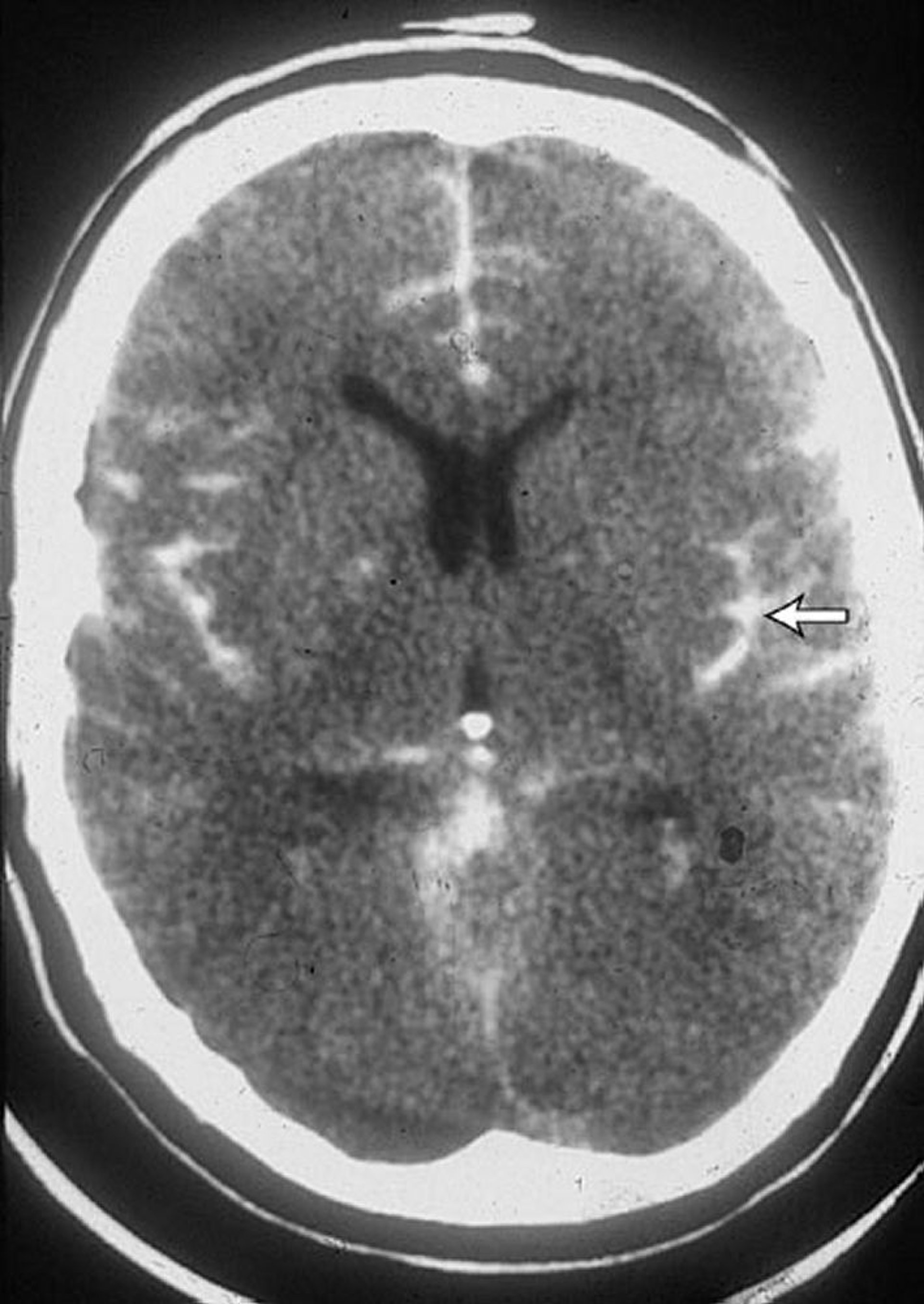
Cette TDM chez un patient qui a une hémorragie sous-arachnoïdienne montre du sang dans les scissures (flèche). Du sang est souvent également observé dans les ventricules.
By permission of the publisher. From Lenaerts M, Couch J. In Atlas of Clinical Neurology. Edited by RN Rosenberg. Philadelphia, Current Medicine, 2002.
Dans ces sujets
