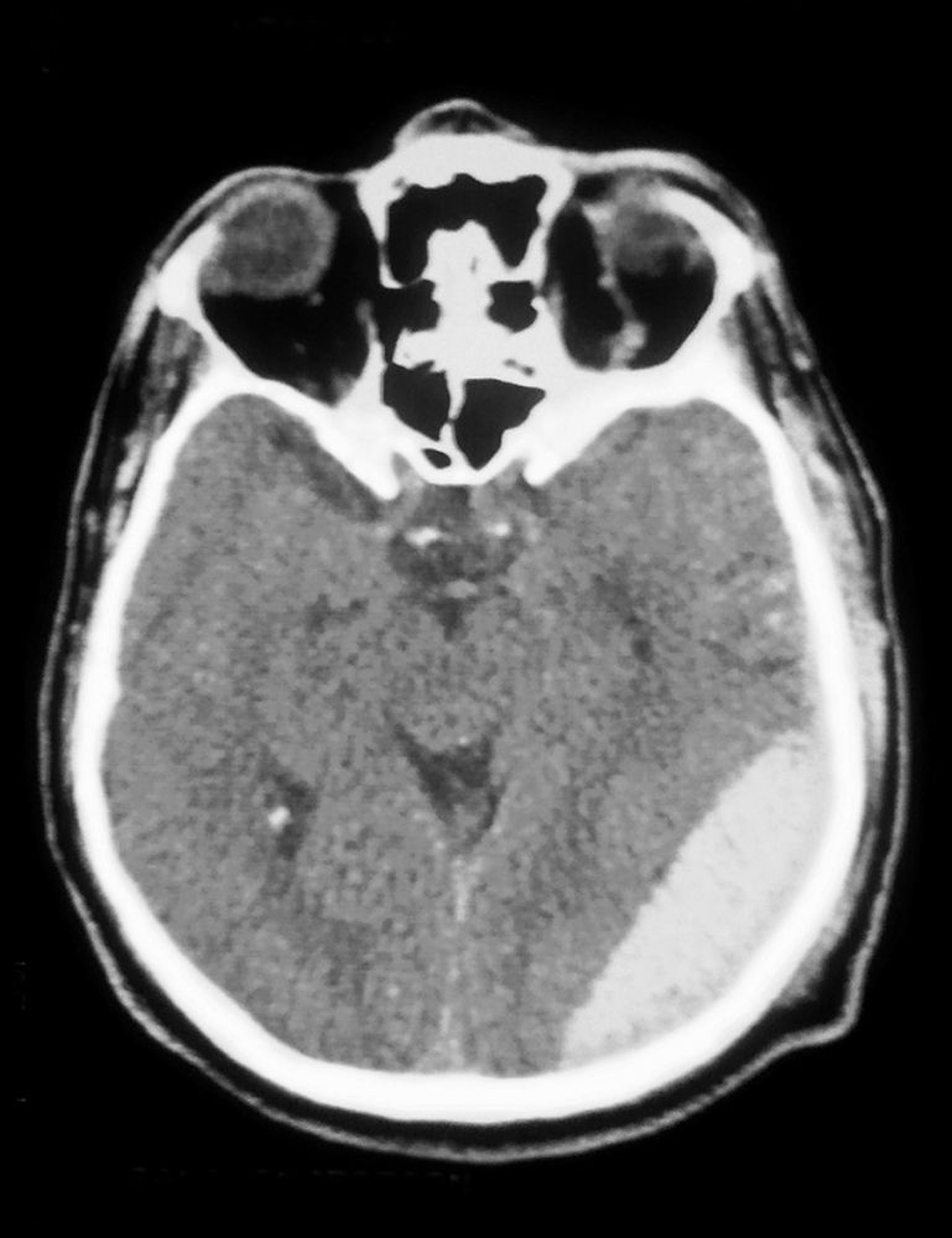
Hématome épidural

Hématome épidural

La TDM montre un hématome épidural (opacité en bas à droite).

Cavallini James/BSIP/SCIENCE PHOTO LIBRARY