Hémangiome caverneux
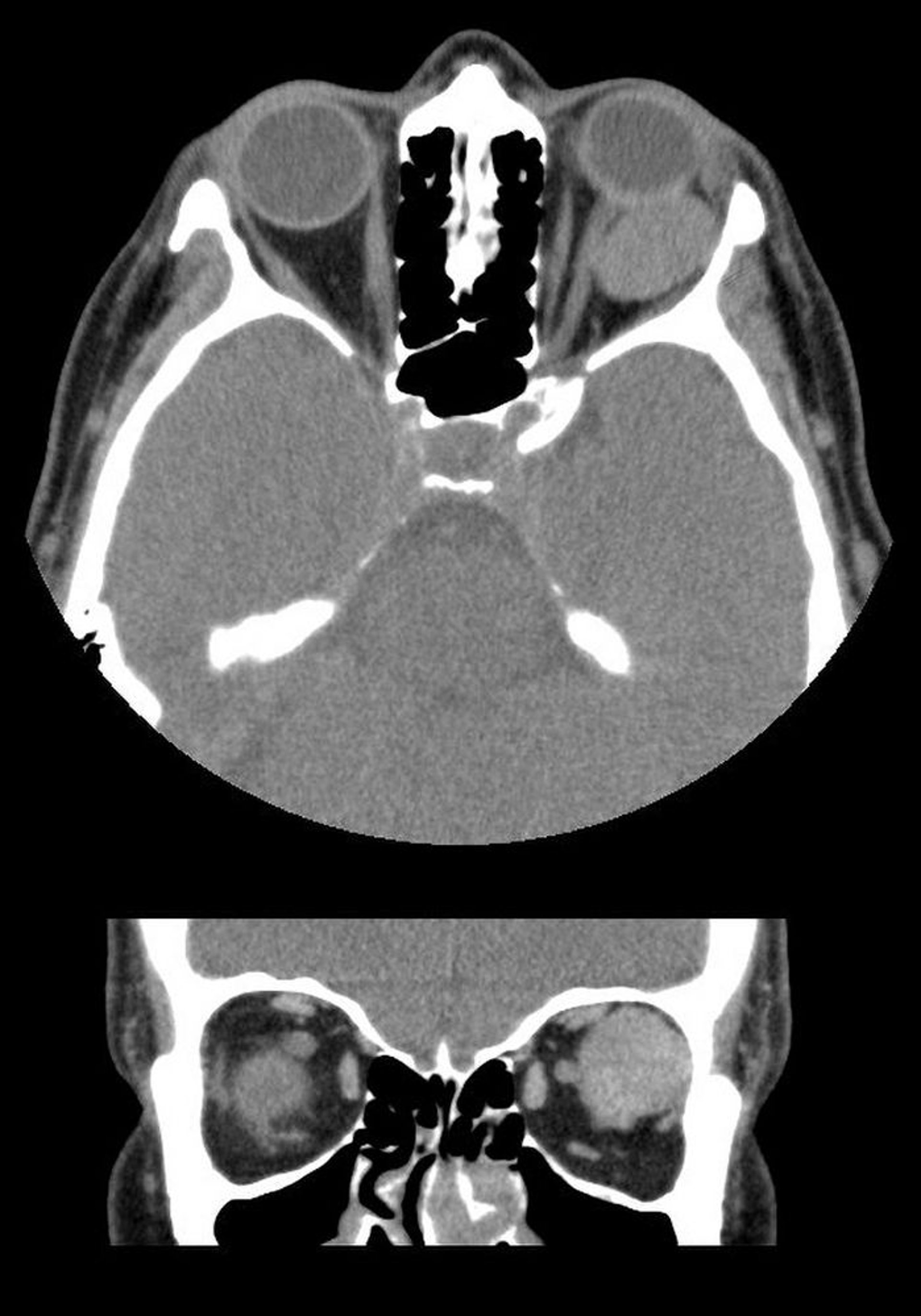
Dans cette image, les TDM axiales (en haut) et coronales (en bas) montrent une masse intraconale bien délimitée située derrière le globe gauche. La masse est une malformation veineuse caverneuse.
Images courtesy of James Garrity, MD.
Dans ces sujets
