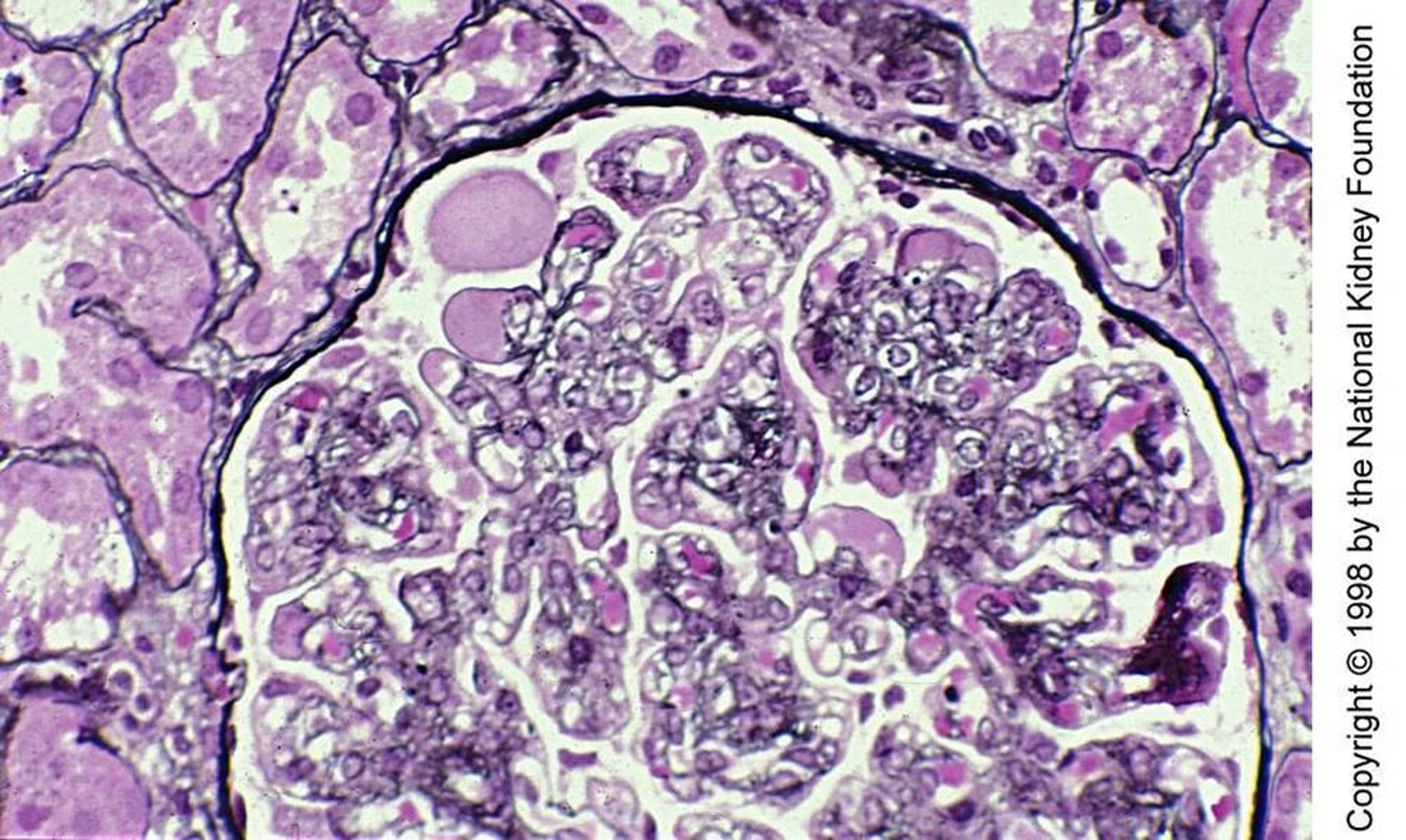
Glomérulonéphrite membranoproliférative, à médiation par les immunoglobulines/complexes immuns
Dans la glomérulonéphrite membranoproliférative à médiation par les immunoglobulines/complexes immuns, les dépôts chroniques de complexes immuns (principalement C3 et IgG ou IgM) activent le complément par la voie classique à l'intérieur des parois capillaires glomérulaires et du mésangium. Il en résulte une prolifération mésangiale, un épaississement de la membrane basale glomérulaire (MBG), l'interposition du cytoplasme des cellules mésangiales entre la membrane basale glomérulaire et la cellule endothéliale et une glomérulosclérose conduisant à une insuffisance rénale. L'épaississement de la membrane basale glomérulaire (MBG) se manifeste ici par un double contour (coloration de Jones à l'argent, ×400).
Image fournie par Agnes Fogo, MD, and the American Journal of Kidney Diseases' Atlas of Renal Pathology (voir www.ajkd.org).
