Glioblastome
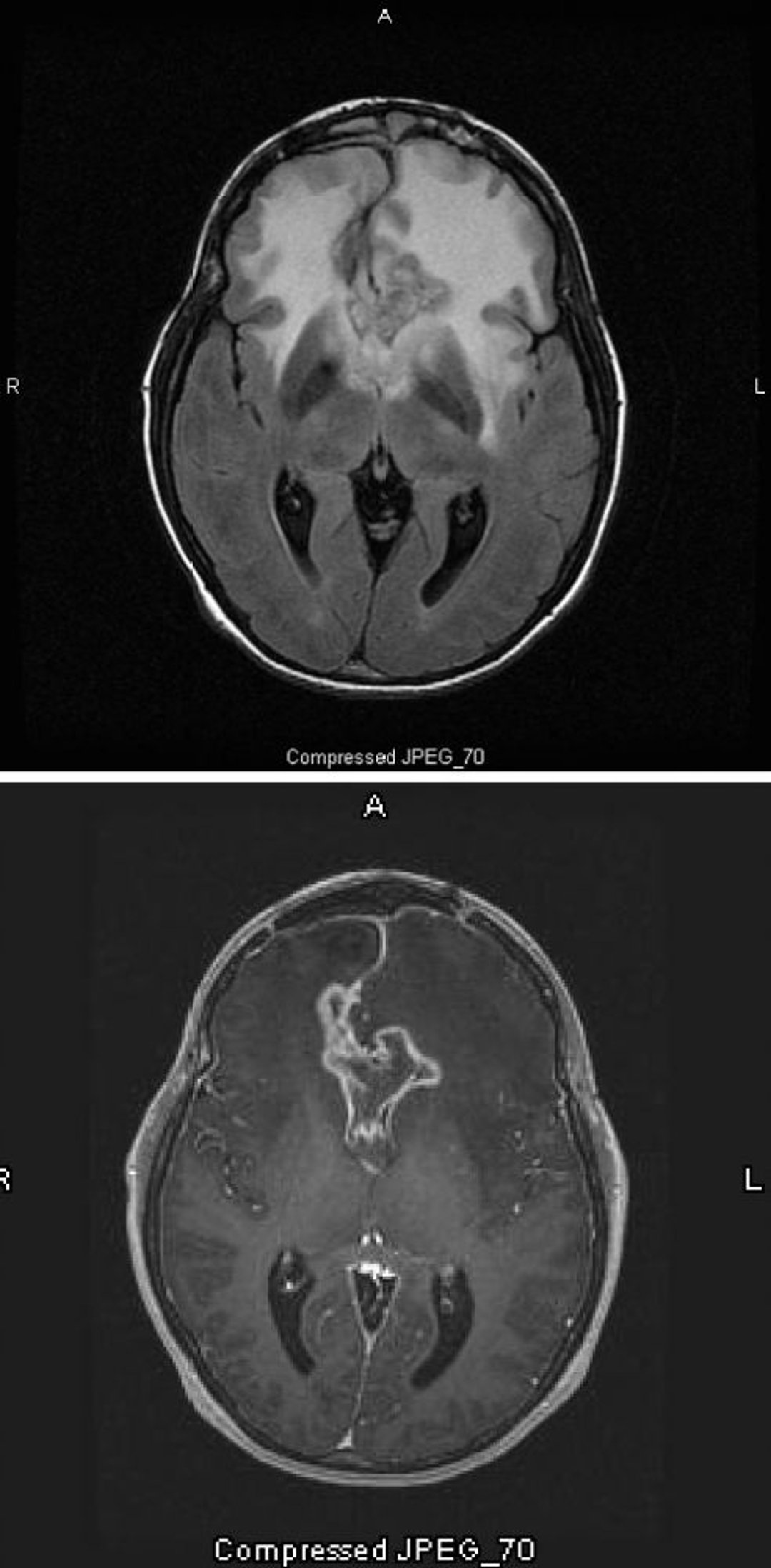
L'IRM T2-FLAIR (en haut) montre un grand signal bilatéral blanc (hyperdensité) autour d'un glioblastome, qui est l'astrocytome de grade le plus élevé et le plus malin. Ce glioblastome particulier est appelé gliome papillon parce que le signal blanc autour de la tumeur a une forme en ailes du papillon; il est provoqué par un œdème cérébral. Sur l'IRM pondérée en T1 (en bas), le contraste délimite le bord de la tumeur (prise de contraste en anneau). L'œdème apparaît comme une zone sombre (hypointensité) en T1.
Images courtesy of William R. Shapiro, MD.
Dans ces sujets
