Gingivite
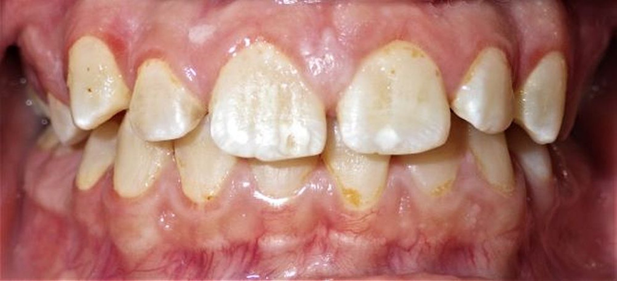
Cette image de gingivite chez un jeune montre une inflammation des gencives marginales (celles les plus proches des dents), avec un gonflement des papilles interdentaires et une inflammation observée le long des canines supérieures.
Image courtoisie de James T. Ubertalli, DMD.
Dans ces sujets
