Gangrène de Fournier (radio abdominale)
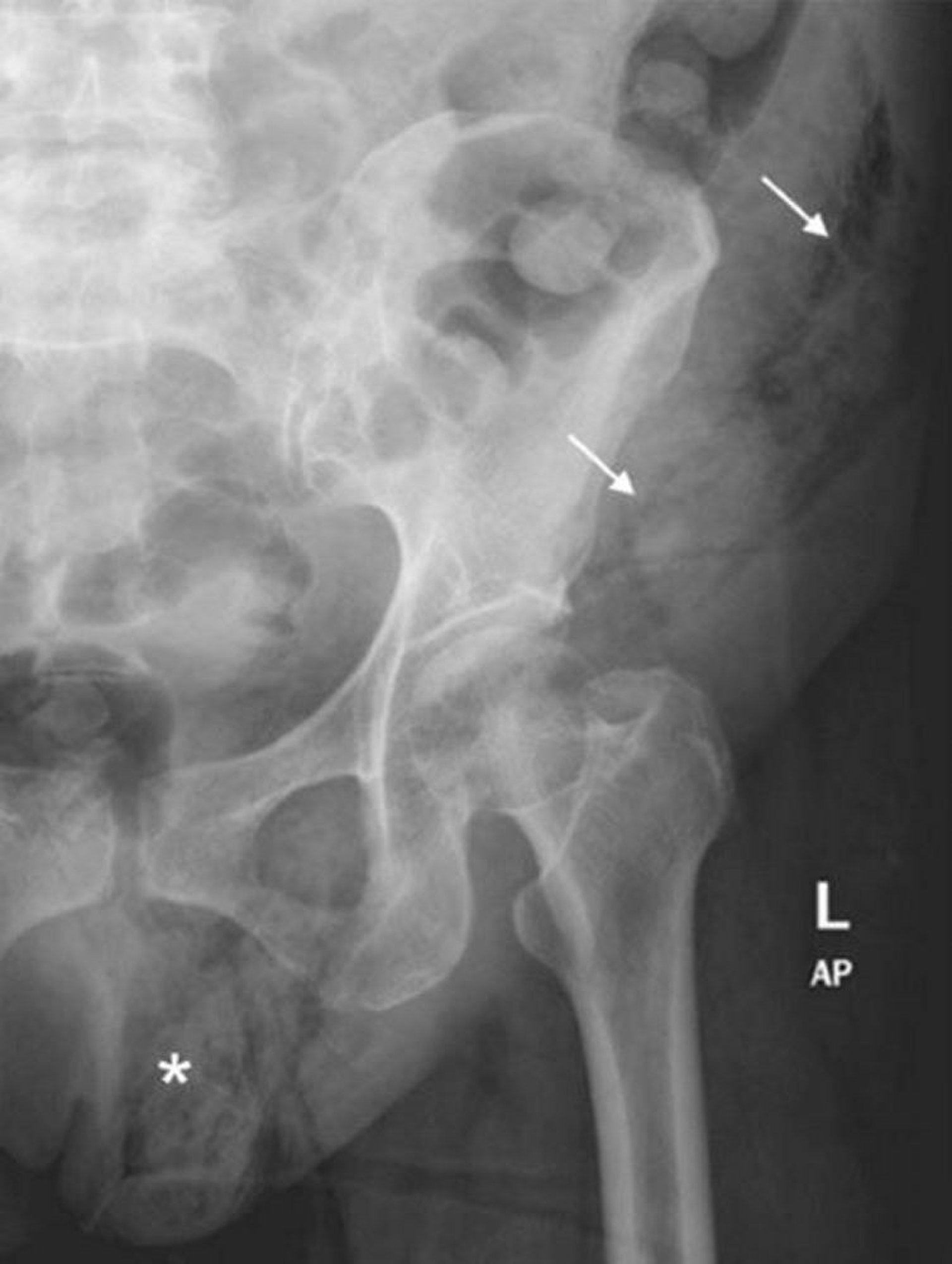
Cette radiographie abdominale montre une extension des gaz des tissus mous de l'hémiscrotum gauche (*) à la paroi abdominale gauche (flèches).
© Springer Science+Business Media
Dans ces sujets
Cette radiographie abdominale montre une extension des gaz des tissus mous de l'hémiscrotum gauche (*) à la paroi abdominale gauche (flèches).
© Springer Science+Business Media