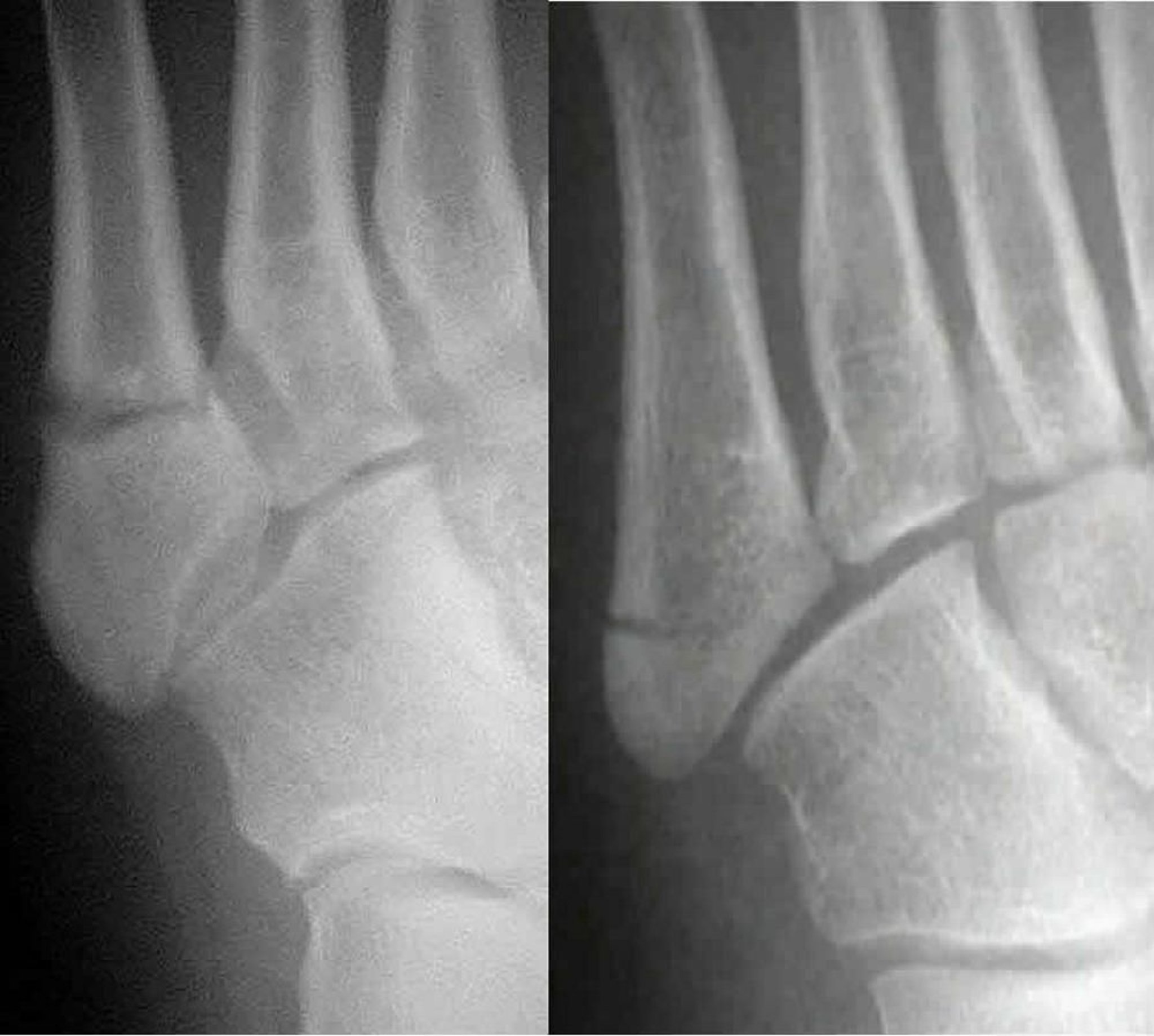
Fractures de Jones versus pseudo-Jones
Une fracture de Jones (à gauche) implique le 5e métatarsien; une fracture pseudo-Jones (à droite) implique la base du 5e métatarsien. Distinguer les deux est important car elles sont traitées différemment.
Images courtesy of Danielle Campagne, MD.
Dans ces sujets
