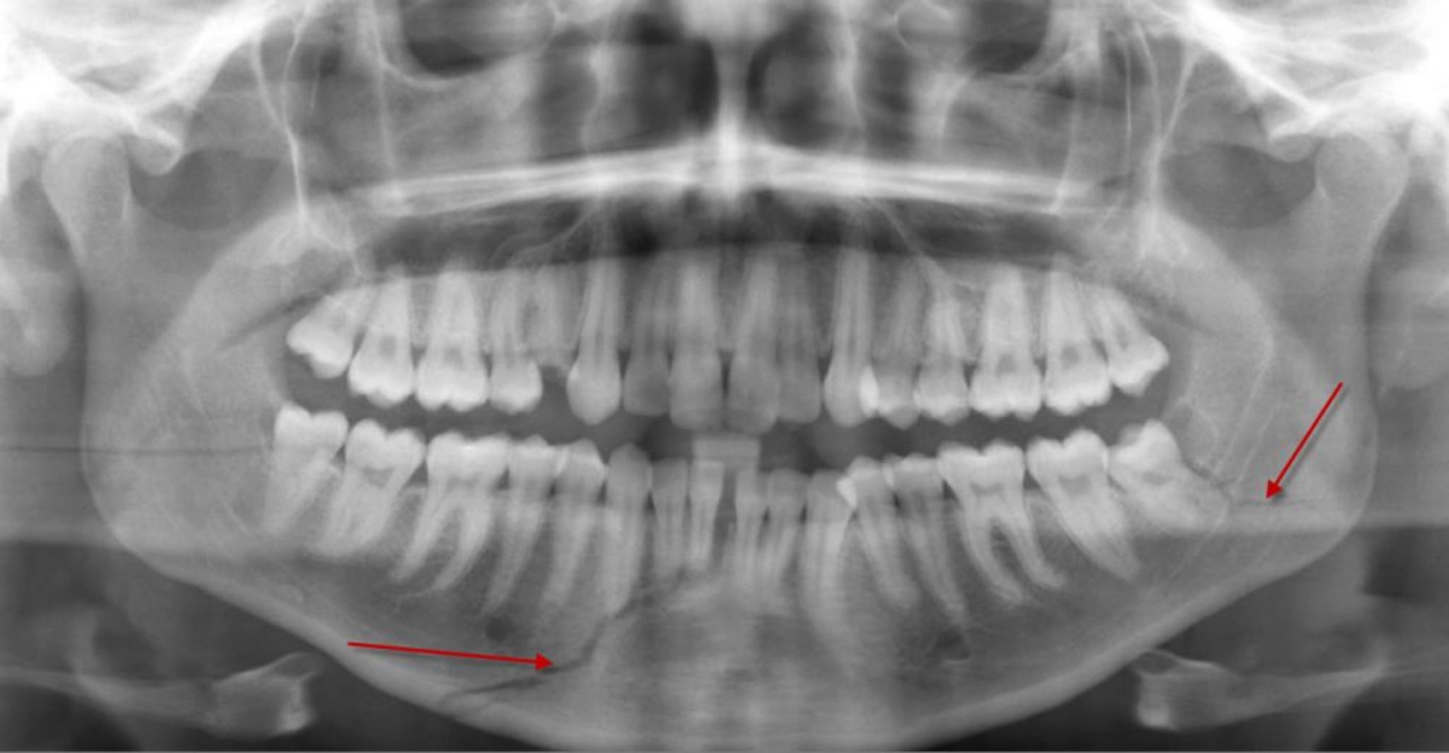
Fracture du corps mandibulaire
Cette radiographie panoramique montre une radiotransparence (flèche du bas) dans le corps de la mandibule, représentant une fracture, qui atteint les racines de certaines dents antérieures inférieures. Il existe également une fracture de l'angle mandibulaire gauche (flèche).
DU CANE MEDICAL IMAGING LTD/SCIENCE PHOTO LIBRARY
Dans ces sujets
