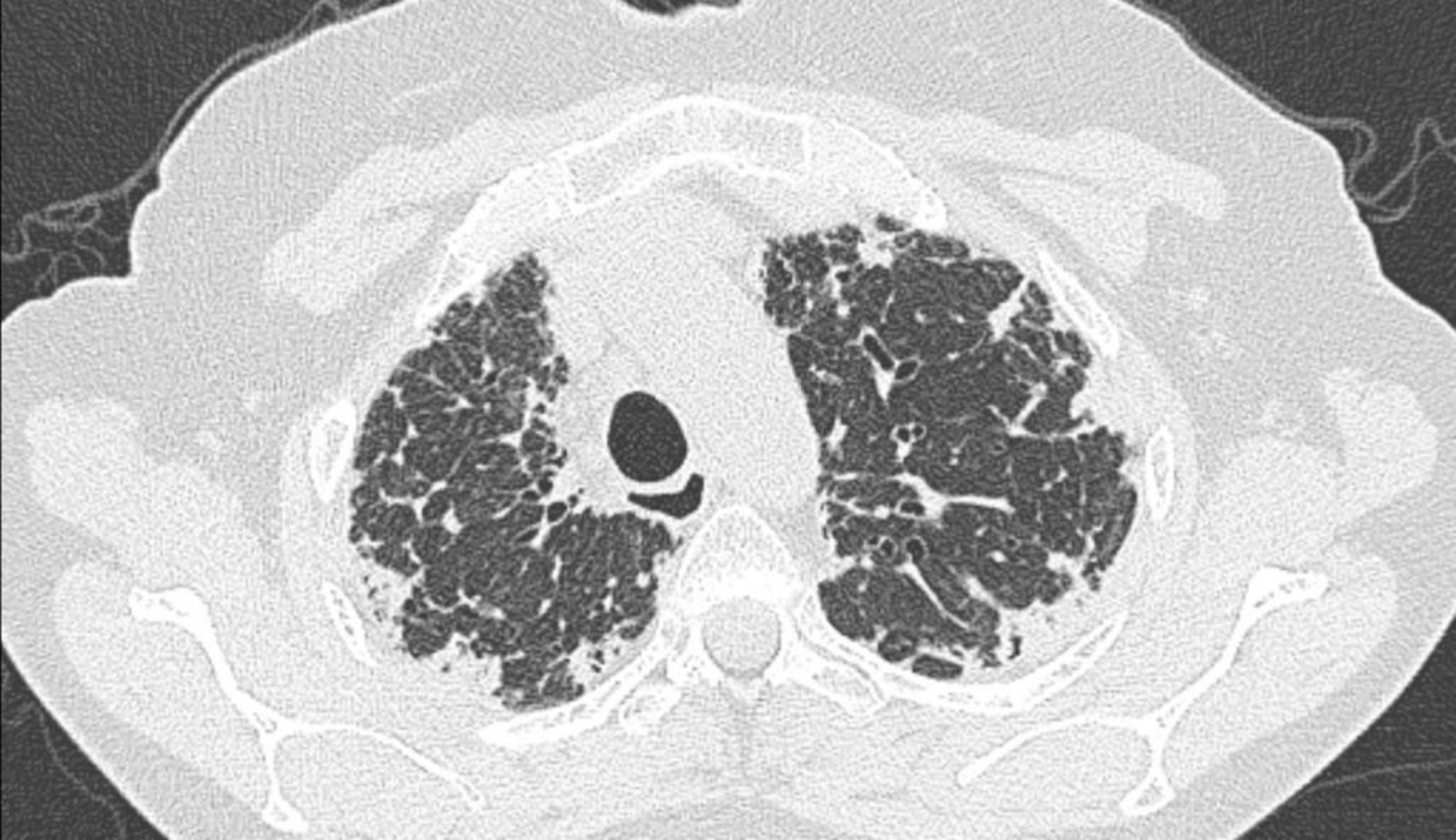
Fibroélastose pleuroparenchymateuse idiopathique (TDM)
La TDM du thorax montre un épaississement pleural et sous-pleural.
Image courtoisie de Joyce S. Lee, MD, MAS.
Dans ces sujets
La TDM du thorax montre un épaississement pleural et sous-pleural.
Image courtoisie de Joyce S. Lee, MD, MAS.