Diverticulite (TDM)
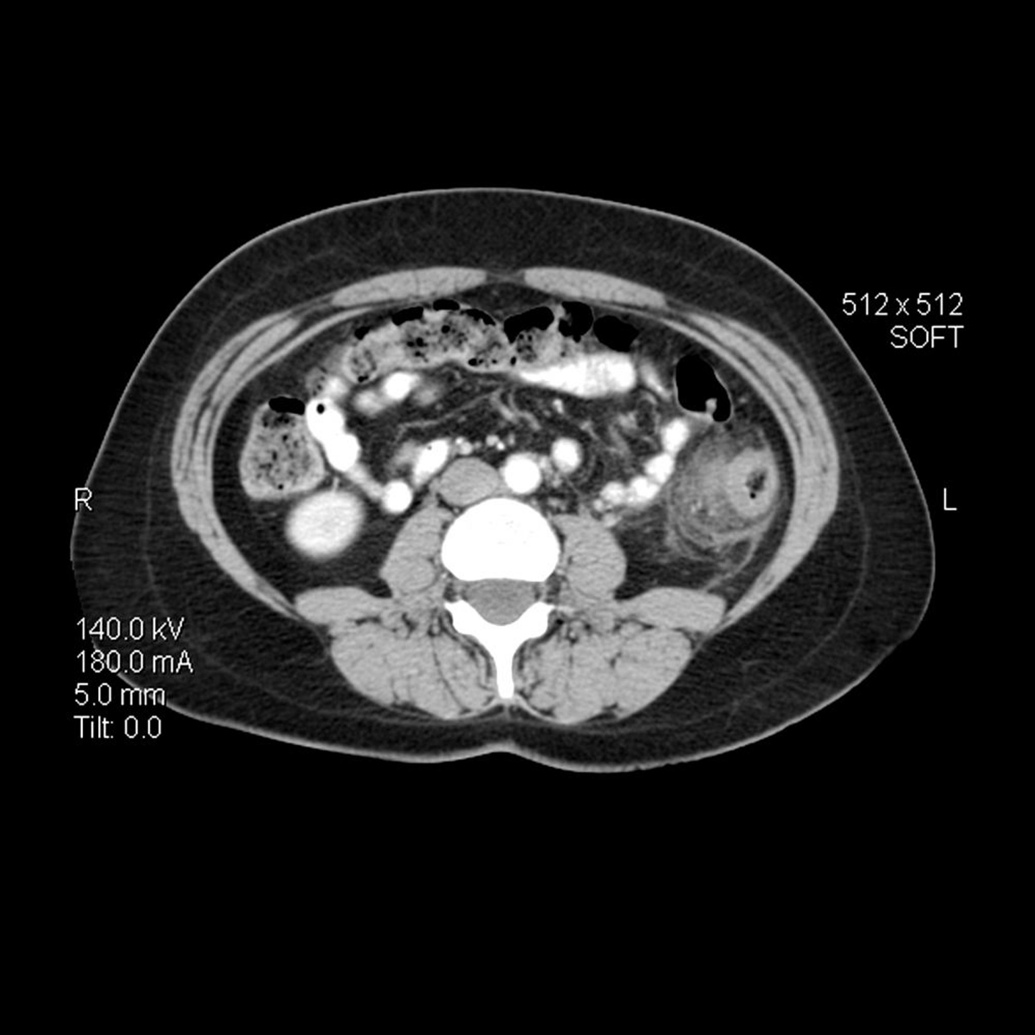
Dans cette image TDM axiale (en coupe transversale) de l'abdomen chez une personne atteinte de diverticulite, la paroi du côlon descendant est épaissie. Il existe également des stries inflammatoires avec une augmentation de la densité de la graisse péricolique adjacente.
LIVING ART ENTERPRISES, LLC/SCIENCE PHOTO LIBRARY
Dans ces sujets
