Dissection aortique abdominale
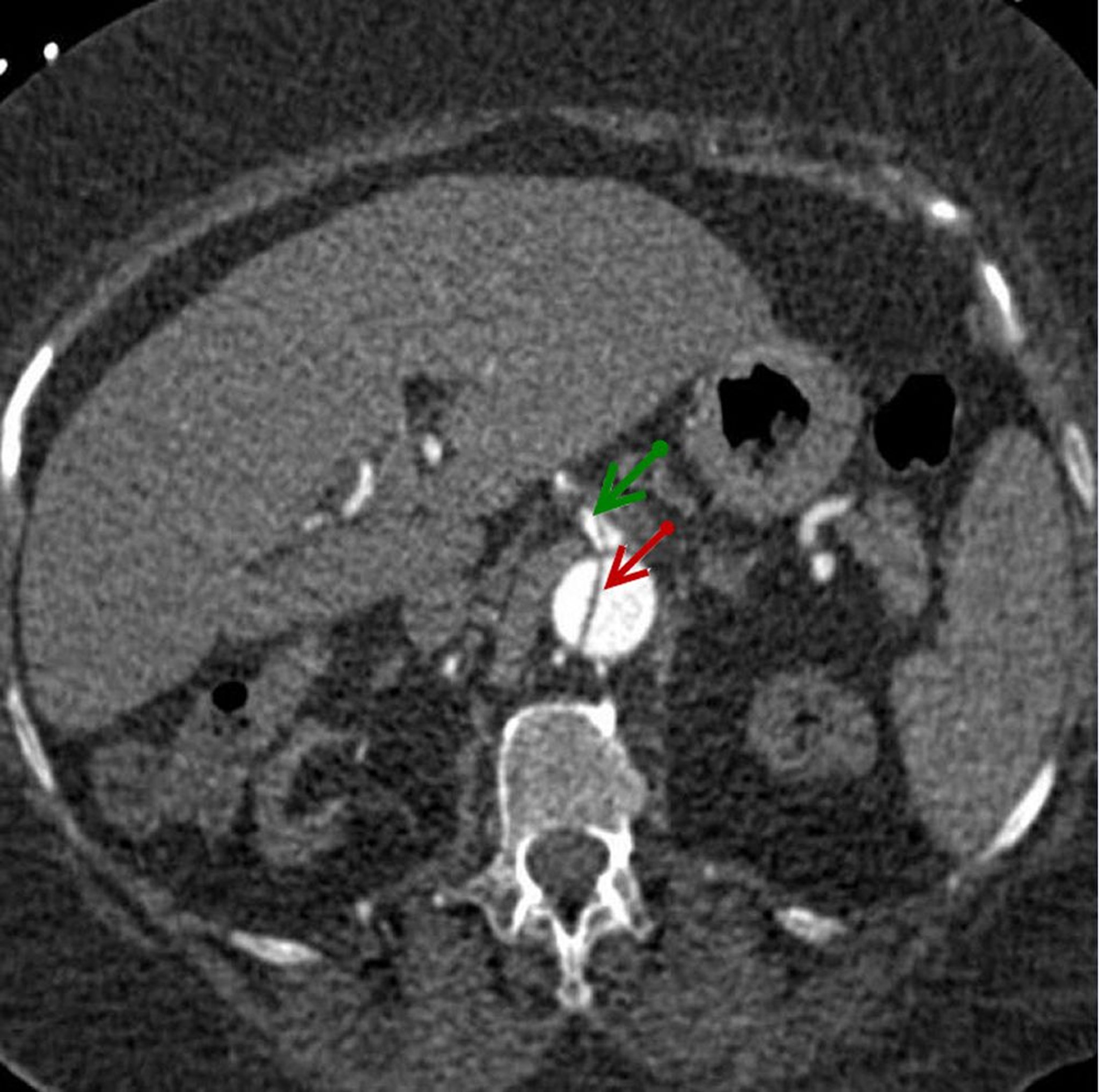
Image axiale du lambeau de dissection dans l'aorte abdominale descendante (flèche rouge) qui s'étend dans l'artère mésentérique supérieure (flèche verte).
© 2017 Elliot K. Fishman, MD.
Dans ces sujets
Image axiale du lambeau de dissection dans l'aorte abdominale descendante (flèche rouge) qui s'étend dans l'artère mésentérique supérieure (flèche verte).
© 2017 Elliot K. Fishman, MD.