Diaphragmes œsophagiens
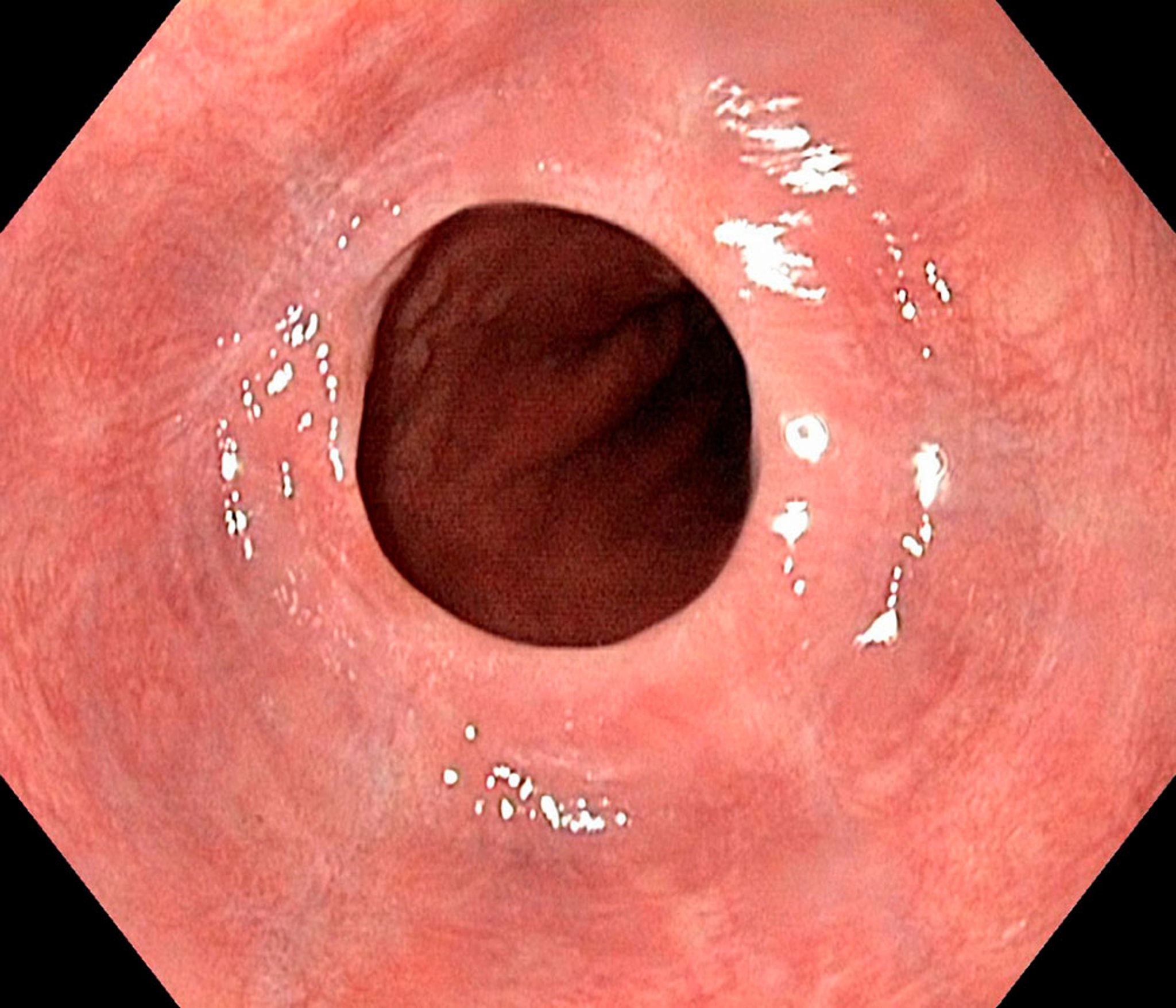
Cette image montre un diaphragme œsophagien, une fine membrane qui se développe à travers la lumière au niveau de l'œsophage moyen ou supérieur.
GASTROLAB/SCIENCE PHOTO LIBRARY
Dans ces sujets
Cette image montre un diaphragme œsophagien, une fine membrane qui se développe à travers la lumière au niveau de l'œsophage moyen ou supérieur.
GASTROLAB/SCIENCE PHOTO LIBRARY