Cancer métastatique du foie
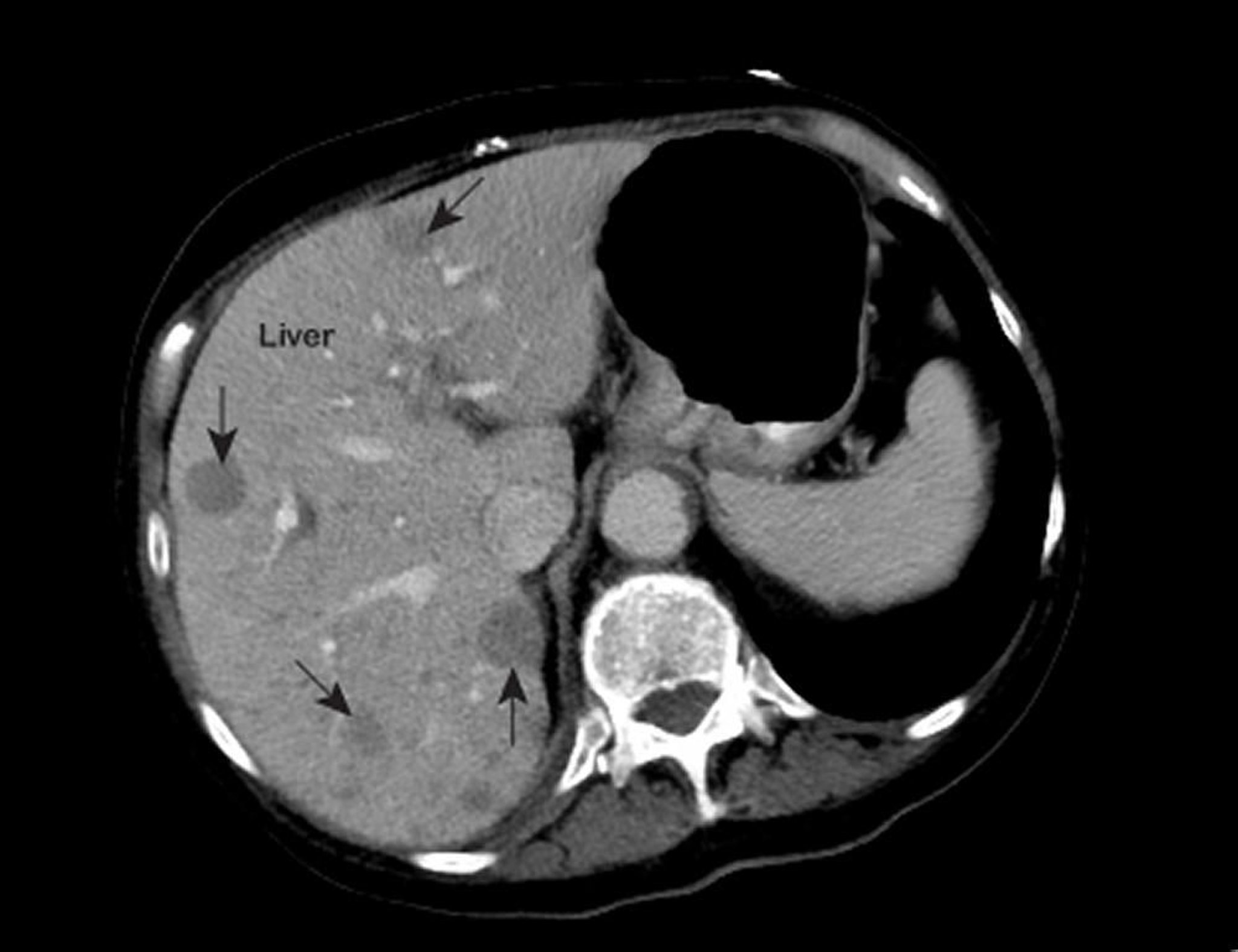
Une IRM thoracique anormale montre des zones de faible atténuation (marquées par des flèches) à l'intérieur du foie. Cet aspect est typique du cancer du foie métastatique.
Photo courtesy of Patrick O’Kane, MD.
Dans ces sujets
