Astrocytome anaplasique
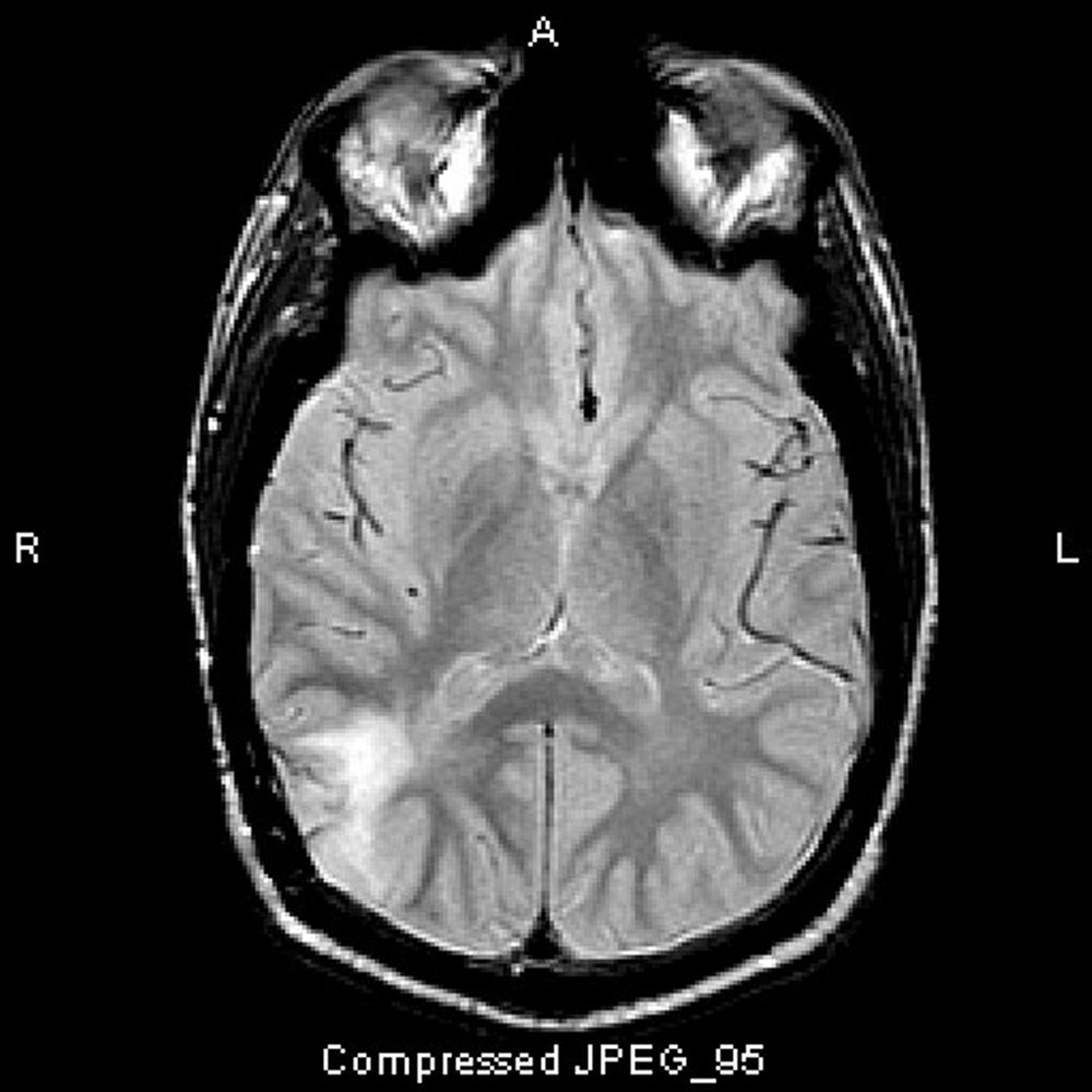
Cette IRM T2-FLAIR montre un signal blanc dans le lobe temporal postérieur. Le signal n'est pas augmenté par le contraste. C'est un astrocytome anaplasique (grade III).
Image courtoisie de William R. Shapiro, MD.
Dans ces sujets
