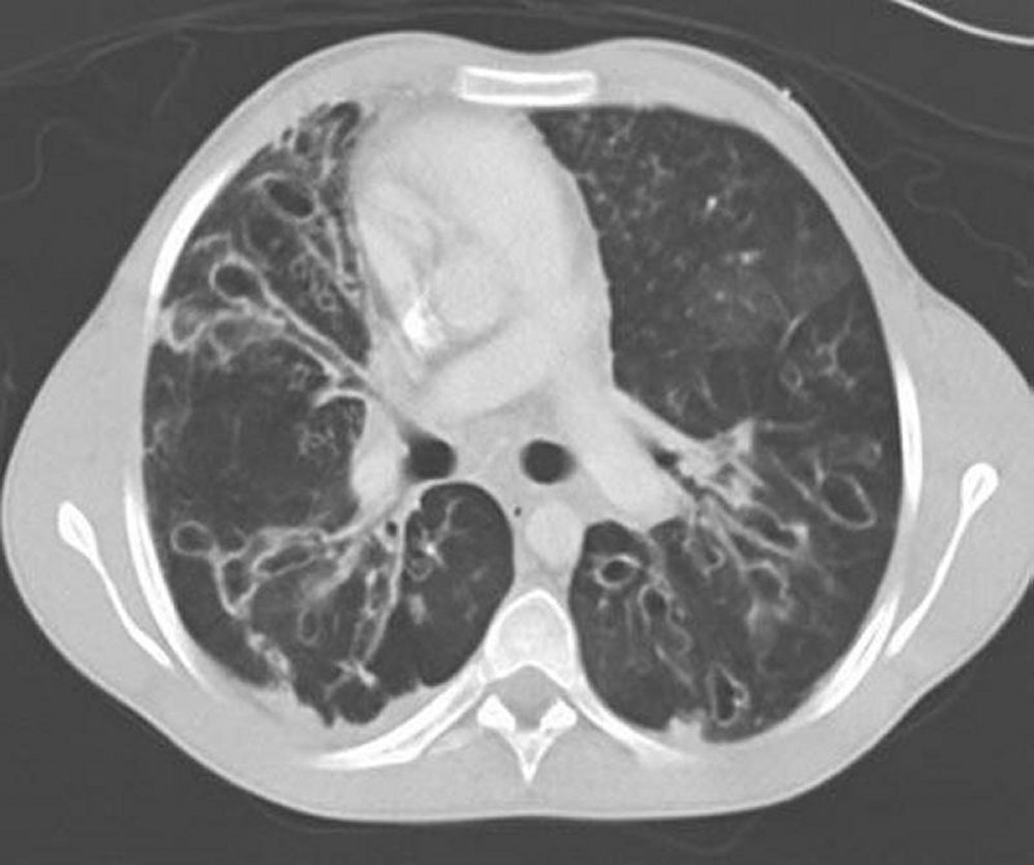
Aspergillose bronchopulmonaire allergique (bronchectasies)
Une TDM thoracique avec contraste montre des bronchectasies sévères dans les zones médianes du poumon avec des voies respiratoires grossièrement dilatées et ectasiques ainsi que des modifications kystiques. L'ectasie des voies respiratoires est caractérisée par un rapport des voies respiratoires au vaisseau adjacent > 1.
By permission of the publisher. D'après Coakley R, Boucher R, Fiel S, et al. In Bone's Atlas of Pulmonary and Critical Care Medicine. Edited by J Crapo. Philadelphia, Current Medicine, 2005.
Dans ces sujets
