Asbestose

Asbestose

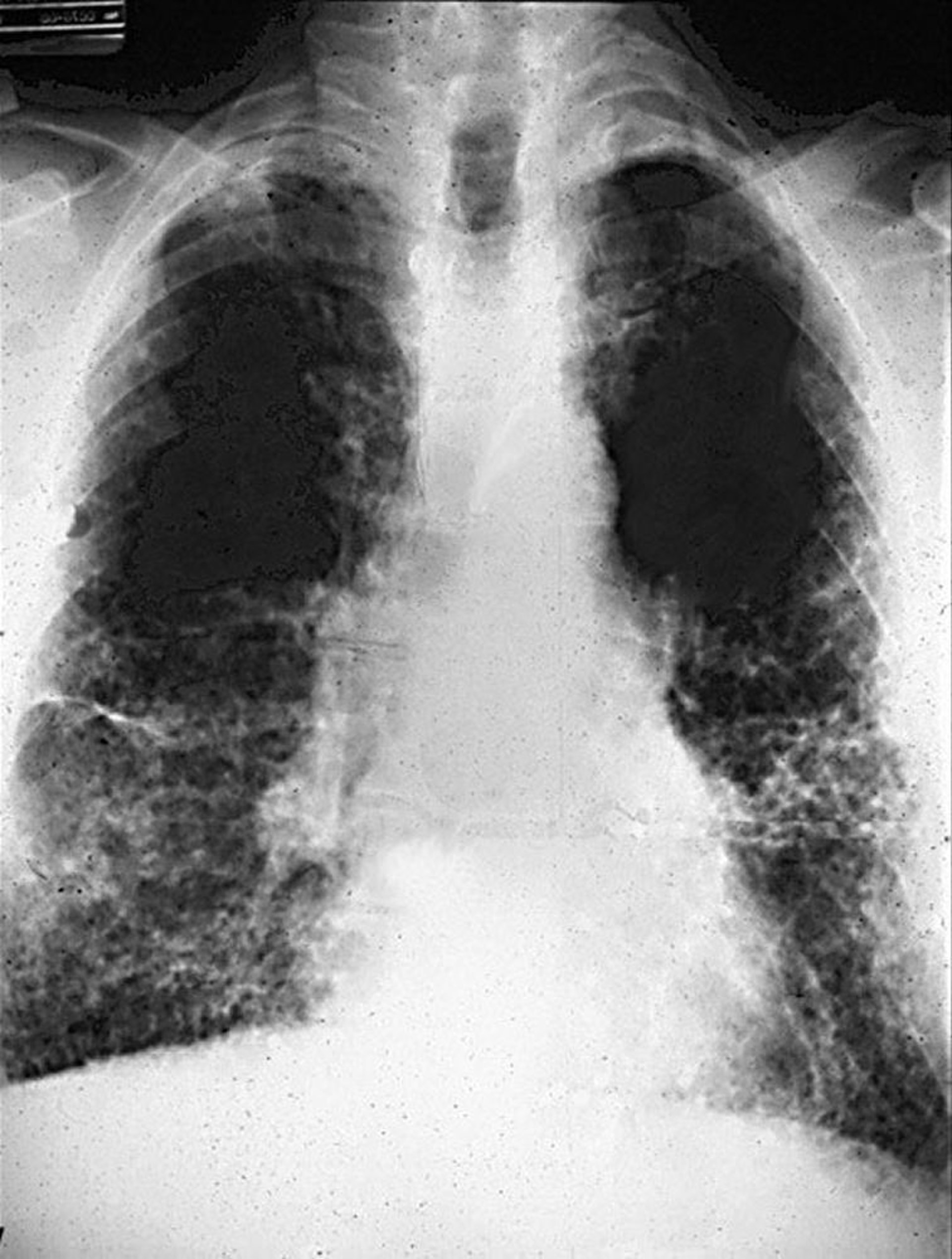
Modifications réticulaires avec nid d'abeilles dans l'asbestose.

Image courtoisie de David W. Cugell, MD.

Dans ces sujets