Anévrisme de l'aorte abdominale (échographie)
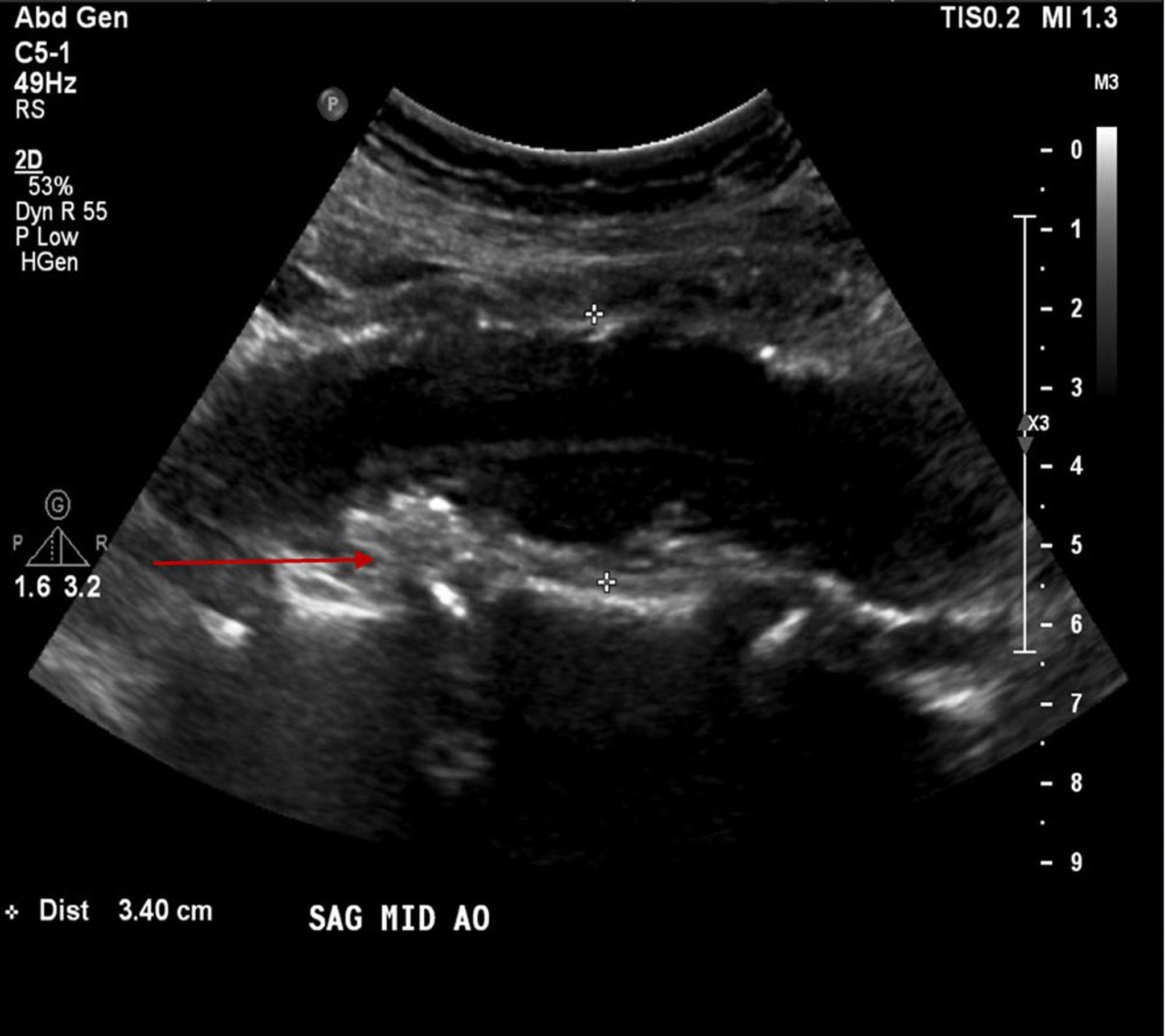
Ce patient a un anévrisme de l'aorte abdominale mesurant 3,4 cm ainsi (entre les croix blanches) qu'une plaque athéroscléreuse ou un thrombus mural (flèche rouge).
© 2017 Elliot K. Fishman, MD.
Dans ces sujets
