Anémie ferriprive
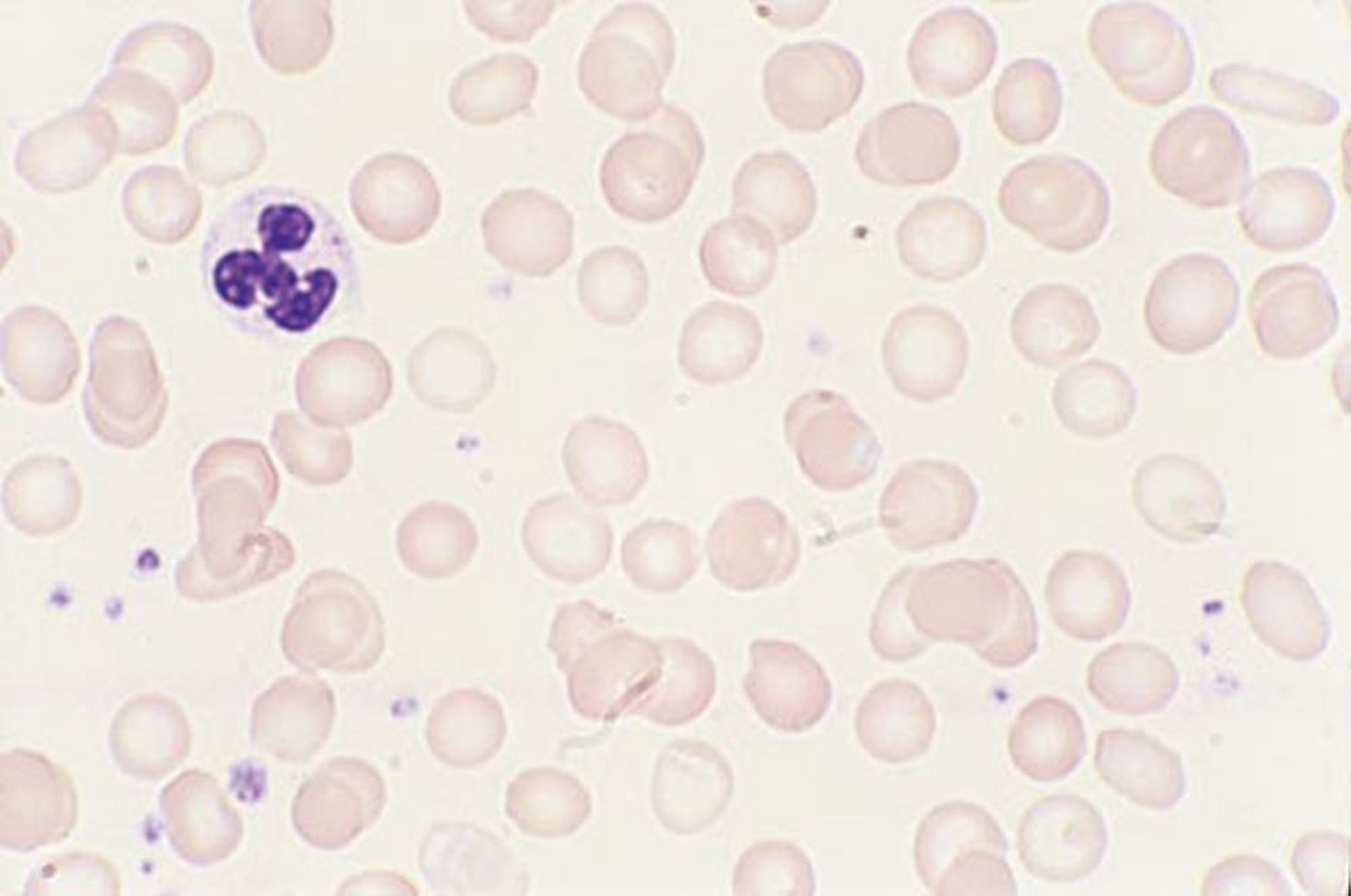
Dans l'anémie ferriprive, le frottis périphérique montre habituellement une anisocytose et une poïkilocytose. Dans les cas graves, des globules rouges et des elliptocytes en forme de cigare sont présents de façon caractéristique. Inversement, la polychromasie (équivalent de la réticulocytose à la coloration de Wright-Giemsa) et des granulations basophiles sont nettement absentes.
By permission of the publisher. From Tefferi A, Li C. In Atlas of Clinical Hematology. Edited by JO Armitage. Philadelphia, Current Medicine, 2004.
Dans ces sujets
