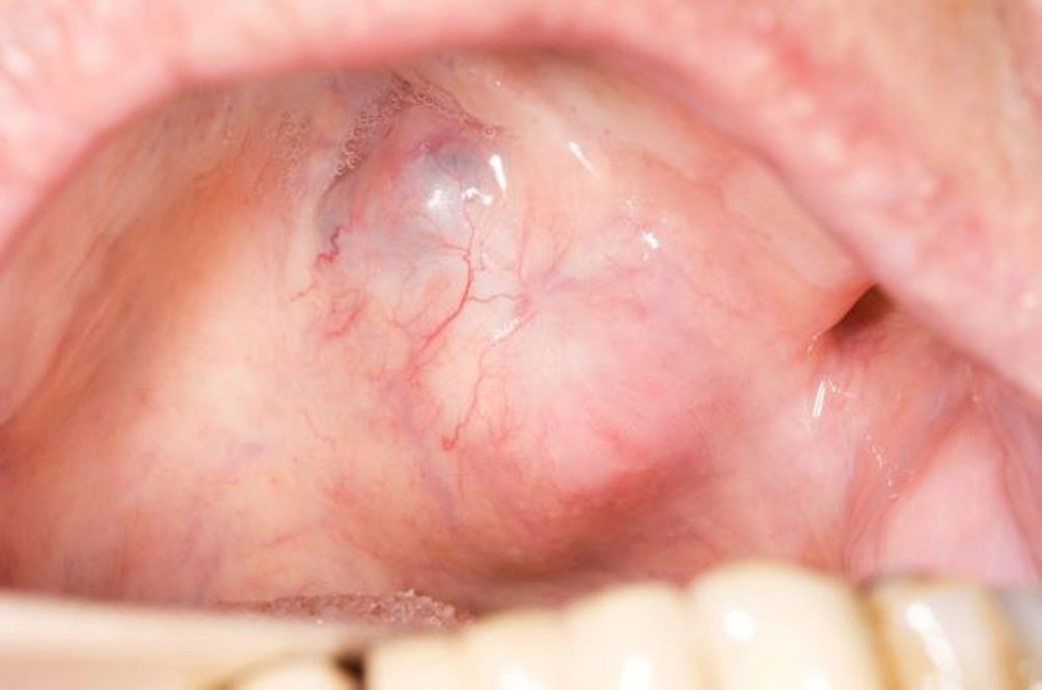
Adénome pléomorphe de la glande salivaire palatine
L'adénome pléomorphe est la tumeur bénigne intraorale la plus fréquente. La muqueuse palatine est le site le plus fréquent.
DR. P. MARAZZI/SCIENCE PHOTO LIBRARY
Dans ces sujets
L'adénome pléomorphe est la tumeur bénigne intraorale la plus fréquente. La muqueuse palatine est le site le plus fréquent.
DR. P. MARAZZI/SCIENCE PHOTO LIBRARY