Paludisme

ParChelsea Marie, PhD, University of Virginia;
William A. Petri, Jr, MD, PhD, University of Virginia School of Medicine
Reviewed ByChristina A. Muzny, MD, MSPH, Division of Infectious Diseases, University of Alabama at Birmingham
Vérifié/Révisé Modifié sept. 2025
v1016413_fr
Voir l’éducation des patients

Le paludisme est une infection à Plasmodium spp. La symptomatologie comprend une fièvre (qui peut être périodique), des frissons, des sueurs, une diarrhée, des douleurs abdominales, une détresse respiratoire, une confusion, des convulsions, une anémie hémolytique, une splénomégalie et des anomalies rénales. Le diagnostic repose sur un frottis sanguin et des tests diagnostiques rapides. Le traitement et la prophylaxie dépendent de l'espèce de Plasmodium, de la sensibilité aux médicaments et de l'état clinique du patient. Les protocoles de traitement de la maladie aiguë comprennent l'association thérapeutique à base d'artémisinine, le protocole à action la plus rapide, l'association fixe d'atovaquone et de proguanil et, plus rarement, la chloroquine, la quinine ou la méfloquine. Les patients infestés par P. vivax et P. ovale sont traités également par la primaquine ou une dose unique de tafénoquine pour éviter les rechutes. La prophylaxie repose habituellement sur l'association fixe d'atovaquone plus proguanil ou de doxycycline; la chloroquine est utilisée dans les zones où la résistance à la chloroquine est absente. Le traitement terminal par la primaquine ou la tafénoquine est administré aux patients susceptibles d'avoir été exposés à P. vivax ou à P. ovale. La vaccination est recommandée pour les enfants vivant dans des zones endémiques.

Le paludisme est transmis à l'homme par la piqûre de moustiques Anopheles femelles. Rarement, l'infection peut également être transmise par transfusion sanguine, transplantation d'organe, partage d'aiguilles contaminées ou de manière congénitale.

Environ la moitié de la population mondiale est exposée au paludisme. Le paludisme est endémique en Afrique, en Inde et dans d'autres régions d'Asie du Sud et du Sud-Est, en Corée du Nord et du Sud, au Mexique, en Amérique centrale, en Haïti, en République dominicaine, en Amérique du Sud (y compris les régions du nord de l'Argentine), au Moyen-Orient (y compris la Turquie, la Syrie, l'Iran et l'Irak), et en Asie centrale. Le Centers for Disease Control and Prevention (CDC) fournit des informations sur des pays où le paludisme est transmis (1), les types de paludisme, les profils de résistance et la prophylaxie recommandée (voir CDC: Malaria).

En 2023, il y a eu environ 263 millions de cas de paludisme, dont 94% en Afrique (2). On estime que 597 000 personnes sont mortes du paludisme en 2023, principalement des enfants de < 5 ans. De 2000 à 2020, les décès dus au paludisme avaient diminué d'environ 30% grâce aux efforts de la RBM (Roll Back Malaria) Partnership to End Malaria, qui compte > 500 partenaires (dont des pays d'endémie et diverses organisations et institutions). Malgré des décennies de déclin, le nombre de décès augmente depuis 2020 en raison des perturbations dues aux effets indirects de la pandémie du COVID-19, notamment les perturbations des interventions de contrôle du paludisme, l'accès réduit aux soins de santé, les interruptions de la chaîne d'approvisionnement et la surcharge du système de santé.

Le paludisme était autrefois endémique aux États-Unis. Actuellement, environ 2000 cas surviennent aux États-Unis chaque année, presque tous contractés à l'étranger (3). En 2023, 5 cas de paludisme à P. vivax acquis localement et transmis par des moustiques, ont été identifiés en Floride et au Texas. Auparavant, le paludisme domestique transmis par les moustiques ne s'était pas produit aux États-Unis depuis 2003 (4).

Références générales

  1. 1. Centers for Disease Control and Prevention (CDC). Yellow Fever Vaccine & Malaria Prevention Information, by Country. CDC Yellow Book 2024.

  2. 2. World Health Organization (WHO). World malaria report 2024: addressing inequity in the global malaria response.

  3. 3. CDC. Malaria. CDC Yellow Book 2024.

  4. 4. CDC. Locally Acquired Malaria Cases Identified in the United States. June 2023. Accessed March 19, 2025.

Physiopathologie du paludisme

Les espèces de Plasmodium qui infectent l'homme sont les suivantes:

  • P. falciparum

  • P. vivax

  • P. ovale

  • P. malariae

  • P. knowlesi

L'infection simultanée par plus d'une espèce de Plasmodium est peu fréquente mais peut se produire.

P. knowlesi est un agent pathogène en Asie du Sud-Est, en particulier en Malaisie. Les macaques sont les hôtes principaux (voir aussi Protozoa in Nonhuman Primates [Protozoaires chez les primates non humains]). P. knowlesi est habituellement contractée par les personnes vivant ou travaillant à proximité ou dans les forêts.

Les éléments de base du cycle de vie sont les mêmes pour toutes les espèces de Plasmodium, et 2 hôtes sont impliqués: le moustique (gamétocyte, oocyste et sporozoïte) et l'humain (schizonte, mérozoïte et trophozoïte).

La transmission débute quand un moustique Anopheles femelle pique un sujet impaludé et ingère du sang contenant des gamétocytes. Pendant les 1 à 2 semaines suivantes, les gamétocytes subissent une multiplication sexuée à l'intérieur du moustique et y produisent des sporozoïtes infectants. Quand l'anophèle pique une nouvelle personne, elle inocule les sporozoïtes dans la circulation sanguine, qui atteignent rapidement le foie et infectent les hépatocytes.

Les parasites se transforment ensuite en schizontes tissulaires au sein des hépatocytes. Ce processus est appelé schizogonie exoérythrocytaire. Chaque schizonte produit 10 000 à 30 000 mérozoïtes, qui sont libérés dans la circulation sanguine 1 à 3 semaines plus tard, lors de la rupture de l'hépatocyte. Chaque mérozoïte peut envahir un globule rouge et s'y transformer en trophozoïte.

Les trophozoïtes se développent, et la plupart se transforment en schizontes érythrocytaires; les schizontes produisent davantage de mérozoïtes qui, 48 à 72 heures plus tard, rompent les globules rouges et sont libérés dans le plasma. Ces mérozoïtes envahissent ensuite rapidement de nouveaux globules rouges, répétant le cycle. Certains trophozoïtes se transforment en gamétocytes, qui sont ingérés par un moustique du genre Anopheles. Ils s'unissent sexuellement dans l'intestin du moustique, se transforment en oocystes et libèrent des sporozoïtes infectants, qui migrent vers les glandes salivaires du moustique.

Dans le cas de P. vivax et de P. ovale (mais pas dans le cas de P. falciparum ni de P. malariae), les schizontes tissulaires peuvent persister en tant qu'hypnozoïtes dans le foie pendant des années. Une rechute de P. ovale a été décrite comme pouvant survenir jusqu'à 6 ans après un épisode de paludisme symptomatique. Ces formes dormantes servent de "bombes à retardement", provoquant à chaque libération différée des parasites des rechutes et compliquent la chimiothérapie, car elles ne sont pas détruites par la plupart des médicaments antipaludéens, qui agissent habituellement sur les parasites du sang.

La phase pré-érythrocytaire (hépatique) du cycle évolutif du paludisme est court-circuitée quand le parasite est transmis par une transfusion sanguine, par le partage de seringues contaminées ou de façon congénitale. Ces modes de transmission ne sont donc pas responsables de maladie latente et de récidives tardives. De même, le paludisme peut être transmis par transplantation d'organe solide, contournant le stade hépatique et conduisant à une infection sanguine immédiate; cependant, ceci est très rare (1).

La rupture des globules rouges qui provoque une hémolyse pendant la libération des mérozoïtes est associée à des symptômes cliniques. Dans les cas sévères, l'hémolyse entraîne une anémie et un ictère, aggravés par la phagocytose des globules rouges infectés dans la rate. L'anémie peut être sévère dans l'infestation par P. falciparum ou l'infestation chronique à P. vivax mais est modérée dans l'infestation par P. malariae.

Paludisme à falciparum

Contrairement à d'autres formes de paludisme, P. falciparum entraîne une obstruction microvasculaire, car les globules rouges infestés adhèrent aux cellules endothéliales vasculaires. Une ischémie peut se développer avec, pour conséquence, une hypoxie tissulaire, en particulier dans le cerveau, les reins, les poumons et le tube digestif. L'hypoglycémie et l'acidose lactique peuvent constituer d'autres complications potentielles.

Résistance à l'infestation

La plupart des populations d'Afrique subsaharienne ont une résistance complète à P. vivax en raison de l'absence du groupe sanguin Duffy, impliqué dans la fixation de P. vivax aux globules rouges; de nombreux Afro-Américains présentent également cette résistance. Le développement de Plasmodium dans les globules rouges peut être retardé en cas de maladie de l'hémoglobine S, d'hémoglobine C, de thalassémie, de déficit en G6PD ou d'elliptocytose en raison des défauts structurels présents dans les globules rouges dans ces pathologies.

Des antécédents de paludisme procurent une immunité partielle. Lorsque les résidents des zones hyperendémiques les quittent, leur immunité acquise diminue au fil du temps (des mois ou des années) et ils peuvent développer un paludisme symptomatique s'ils se réinfestent en rentrant chez eux.

Référence pour la physiopathologie

  1. 1. Rosso F, Agudelo Rojas OL, Suarez Gil CC, et al. Transmission of malaria from donors to solid organ transplant recipients: A case report and literature review. Transpl Infect Dis. 2021;23(4):e13660. doi:10.1111/tid.13660

Symptomatologie du paludisme

La période d'incubation est généralement (1):

  • 8 jours à 12 mois pour P. vivax

  • 6 à 30 jours pour P. falciparum

  • 16 à 18 jours ou plus pour P. ovale

  • Environ 1 mois (18 à 40 jours) ou plus (années) dans le cas de P. malariae

Cependant, certaines souches de P. vivax dans les pays à climat tempéré peuvent ne pas provoquer de maladie pendant une période allant de plusieurs mois à > 1 an après l'infestation.

Les manifestations fréquentes à toutes les formes de paludisme comprennent ce qui suit:

  • Fièvre et frissons, la crise de paludisme

  • Anémie

  • Ictère

  • Splénomégalie

  • Hépatomégalie

  • Symptômes constitutionnels (p. ex., malaise, céphalée, myalgies et fatigue)

Le paroxysme du paludisme est dû à la séquence d'événements suivante: l'hémolyse des globules rouges infectés, la libération de mérozoïtes et d'autres antigènes du paludisme, et la réponse inflammatoire subséquente qu'ils provoquent. Un accès classique de paludisme débute par une sensation de malaise, des frissons soudains et une fièvre s'élevant de 39 à 41 °C, un pouls rapide et faible, une polyurie, des céphalées, des myalgies et des nausées. Après 2 à 6 heures, la fièvre chute et on observe des sudations abondantes pendant 2 à 3 heures, suivies d'une fatigue extrême. La fièvre peut souvent être irrégulière (c'est-à-dire, avec une large variation diurne) au début de l'infection. Dans l'infection établie, l'accès typique de paludisme se produit habituellement toutes les 2 à 3 jours selon l'espèce. Les manifestations gastro-intestinales peuvent inclure des vomissements et de la diarrhée.

La splénomégalie devient habituellement palpable à la fin de la 1ère semaine après l'apparition des symptômes cliniques, mais peut se manifester moins fréquemment avec P. falciparum. La rate augmentée de volume est souple et risque une rupture traumatique. La splénomégalie peut diminuer avec les accès récidivants de paludisme, au fur et à mesure que l'immunité fonctionnelle se développe. Après de nombreuses crises, la rate peut devenir fibreuse et ferme ou, chez certains patients, peut devenir massivement hypertrophiée (splénomégalie tropicale). En tant que partie du système réticuloendothélial, la rate devient congestionnée en raison de son rôle dans l'élimination des globules rouges non infectés et infectés qui ont subi des altérations structurelles dues au parasite. L'hépatomégalie accompagne habituellement une splénomégalie.

Pendant la grossesse, les parasites du paludisme peuvent envahir et se répliquer dans le placenta. Le paludisme pendant la grossesse est beaucoup plus susceptible de causer une maladie grave et peut conduire à une fausse couche, un accouchement prématuré, un faible poids de naissance, une infection congénitale et/ou un décès périnatal.

Manifestations de P. falciparum

P. falciparum provoque une maladie souvent sévère du fait de ses effets microvasculaires. C'est la seule espèce susceptible d'induire une maladie fatale si elle n'est pas traitée; les patients non immunisés peuvent mourir en quelques jours après les premiers symptômes. Les pics de température et les symptômes qui les accompagnent surviennent généralement de façon irrégulière, mais ils peuvent devenir synchrones, se produisant selon un schéma tertie (pics de température à des intervalles de 48 heures, correspondant au cycle érythrocytaire de 48 heures de P. falciparum), particulièrement chez les résidents des régions endémiques partiellement immunisées.

Les patients présentant un paludisme cérébral peuvent développer des symptômes allant de l'irritabilité aux convulsions et au coma. Le paludisme cérébral survient principalement chez les enfants de moins de 5 ans vivant en Afrique subsaharienne, chez les femmes enceintes dans les régions endémiques et chez les voyageurs non immunisés se rendant dans les régions où P. falciparum est prévalent. Le syndrome de détresse respiratoire aigu (SDRA/ARDS), une diarrhée, un ictère, une douleur épigastrique, des hémorragies rétiniennes, un paludisme algide (un syndrome similaire au choc d'hypotension sévère et de tachycardie compensatrice), et une thrombopénie sévère peuvent également se produire.

L'insuffisance rénale peut être le résultat d'une déplétion volémique, d'une obstruction microvasculaire glomérulaire par des érythrocytes parasités ou de dépôts de complexes immuns. L'hémoglobinémie et l'hémoglobinurie résultant de l'hémolyse intravasculaire peuvent évoluer en fièvre bilieuse hémoglobinurique (nommée ainsi à cause de la couleur foncée de l'urine), soit spontanément, soit après un traitement par la quinine.

L'hypoglycémie est fréquente et peut être aggravée par le traitement de la quinine et l'hyperinsulinémie qu'elle entraîne.

L'atteinte placentaire peut entraîner un faible poids à la naissance, une fausse couche spontanée, une mort fœtale tardive ou une infection congénitale.

Manifestations de P. vivax, P. ovale, P. malariae et P. knowlesi

P. vivax, P. ovale, et P. malariae ne compromettent pas, habituellement, les organes vitaux. La mortalité est rare et est principalement due à une rupture splénique ou à une hyperparasitémie non contrôlée chez le patient asplénique.

L'évolution clinique avec P. ovale est semblable à celle de P. vivax. Dans les infections établies, les pics de température surviennent selon un modèle de fièvre tierce.

Les infections par P. malariae peuvent ne pas entraîner de symptômes aigus, mais une parasitémie de faible niveau peut persister pendant des décennies et induire une néphrite à complexes immuns ou une néphrose ou une splénomégalie tropicale; lorsqu'elle est symptomatique, la fièvre peut survenir à des intervalles de 72 heures (un schéma de fièvre quarte).

P. knowlesi est associé au spectre complet du paludisme. Contrairement à P. falciparum, l'infection est plus fréquente chez les hommes de plus de 15 ans vivant à proximité ou travaillant dans des zones boisées. Il existe généralement des pics de température quotidiens. La gravité augmente avec l'âge du patient. Le cycle court de réplication asexuée de 24 heures peut induire des taux élevés de parasitémie et, en l'absence de traitement, la mort. La thrombopénie est fréquente, mais elle n'est généralement pas associée à une hémorragie.

Manifestations chez des patients qui reçoivent une chimioprophylaxie

Chez les patients qui prennent une chimioprophylaxie (voir tableau Médicaments utilisés pour prévenir le paludisme), le paludisme peut se manifester de manière atypique. La période d'incubation peut se prolonger plusieurs semaines ou mois après l'interruption du médicament. Les personnes infestées peuvent présenter des céphalées, des lombalgies et une fièvre irrégulière, mais les parasites peuvent être initialement difficiles à trouver dans les prélèvements de sang. Cependant, le rendement parasitaire est plus élevé chez les patients dont le système immunitaire est compromis ou autrement surchargé par des infections déclarées (particulièrement à P. falciparum).

Référence pour la symptomatologie

  1. 1. Centers for Disease Control and Prevention (CDC). General Approach to the Returned Traveler. CDC Yellow Book 2024.

Diagnostic du paludisme

  • L'examen au microscope optique de prélèvement de sang (frottis mince et goutte épaisse)

  • Des tests diagnostiques rapides détectent les antigènes ou les enzymes de Plasmodium dans le sang

La fièvre et les frissons chez un immigrant ou un voyageur revenant d'une région d'endémie doivent amener à évoquer rapidement un paludisme. Les symptômes apparaissent généralement dans les 6 premiers mois après l'infection, mais leur apparition peut prendre jusqu'à 2 ans ou, plus rarement, plus longtemps, selon le microrganisme pathogène spécifique. Une assistance est disponible auprès du CDC pour la détermination de l'espèce du micro-organisme en cas de suspicion de paludisme.

Le paludisme peut être diagnostiqué par la découverte de parasites dans les examens microscopiques de frottis sanguins en goutte épaisse ou en étalement mince (1). Les espèces infectantes (qui déterminent le traitement et le pronostic) sont identifiées par des caractéristiques sur les frottis (voir tableau Caractéristiques diagnostiques de Plasmodium spp dans les frottis sanguins). Si le frottis sanguin initial est négatif, des frottis supplémentaires doivent être répétés à des intervalles de 12 à 24 heures jusqu'à ce que 3 frottis soient négatifs.

Les frottis sanguins minces colorés par la coloration de Wright-Giemsa permettent d'évaluer la morphologie du parasite dans les globules rouges, souvent la spéciation et la détermination du pourcentage de parasitémie (densité parasitaire). Ces facteurs sont évalués en utilisant un grossissement à l'immersion dans l'huile de portions du frottis où les globules rouges se touchent plus ou moins, ce qui doit montrer approximativement 400 globules rouges par champ. Les gouttes épaisses sont plus sensibles mais plus difficiles à préparer et à interpréter car les globules rouges sont lysées avant la coloration. La sensibilité et la précision des résultats dépendent de l'expérience de l'examinateur.

Les tests diagnostiques rapides du paludisme disponibles dans le commerce sont basés sur la présence de certains antigènes de Plasmodium ou de certaines activités enzymatiques. Un test simple par carte immunochromatographique rapide est disponible aux États-Unis. Les dosages peuvent impliquer la détection de la protéine riche en histidine 2 (HRP-2) associé aux parasites du paludisme (en particulier P. falciparum) et la détection de la lactate déshydrogénase associée au plasmodium (pLDH). Les tests rapides sont généralement comparables en sensibilité à la microscopie pour détecter de faibles taux de parasitémie mais ils ne différencient pas l'infection unique d'une infection concomitante par plus d'un Plasmodium spp ou ne permettent pas la spéciation sauf de P. falciparum.

La microscopie optique et les tests diagnostiques rapides sont complémentaires et doivent être effectués lorsqu'ils sont disponibles. Ils ont une sensibilité similaire. Les résultats négatifs même dans les deux cas n'excluent pas le paludisme chez un patient ayant une faible parasitémie.

La PCR des sondes ADN spécifiques de l'espèce et des tests de détection des anticorps peut être utilisée mais n'est pas largement disponible au point d'intervention (voir la section Diagnostic de laboratoire du CDC: Malaria). Ils peuvent permettre d'identifier l'infection à Plasmodium spp après le diagnostic du paludisme. Les tests sérologiques peuvent refléter l'état antérieur à l'exposition et ne sont donc pas indiqués pour diagnostiquer un paludisme aigu.

Les Centers for Disease Control and Prevention (CDC) aux États-Unis offrent des specialized diagnostic services pour le paludisme. Pour plus d'informations, voir the CDC's Infectious Diseases Laboratories: Malaria Molecular Identification

Tableau
Tableau
Exemples de Plasmodium spp. dans les frottis sanguins
Fentes de Maurer dans P. falciparum
Fentes de Maurer dans P. falciparum

Cette image montre des trophozoïtes en forme d'anneau de P. falciparum sur un frottis sanguin mince, présentant des fentes de Maurer.

Cette image montre des trophozoïtes en forme d'anneau de P. falciparum sur un frottis sanguin mince, présentant des fen

... en apprendre davantage

CDC/DPDx

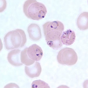
Trophozoïte de P. malariae
Trophozoïte de P. malariae

Cette image montre un trophozoïte en forme de bande de P. malariae dans un frottis sanguin mince.

Cette image montre un trophozoïte en forme de bande de P. malariae dans un frottis sanguin mince.

CDC/DPDx

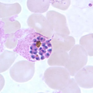
Schizonte de P. ovale
Schizonte de P. ovale

Cette image montre un schizonte de P. ovale dans un frottis sanguin mince.

Cette image montre un schizonte de P. ovale dans un frottis sanguin mince.

CDC/DPDx

Gravité du paludisme

Le paludisme grave est défini par la présence de l'un des signes cliniques et biologiques suivants. Le paludisme grave est en général dû à P. falciparum.

Critères cliniques du paludisme grave (2):

  • Syndrome de détresse respiratoire aiguë/œdème pulmonaire

  • Saignements

  • Coma ou troubles de la conscience

  • Ictère

  • Convulsions (récurrentes)

  • Le choc

Critères de laboratoire pour le paludisme grave (1):

Références pour le diagnostic

  1. 1. Miller JM, Binnicker MJ, Campbell S, et al. A Guide to Utilization of the Microbiology Laboratory for Diagnosis of Infectious Diseases: 2018 Update by the Infectious Diseases Society of America and the American Society for Microbiology. Clin Infect Dis. 2018;67(6):e1-e94. doi:10.1093/cid/ciy381

  2. 2. Centers for Disease Control and Prevention (CDC). General Approach to the Returned Traveler. CDC Yellow Book 2024.

Traitement du paludisme

  • Médicaments antipaludéens

Les médicaments antipaludéens sont choisis en fonction des éléments suivants:

  • Gravité de la maladie (critères cliniques et de laboratoire)

  • Plasmodium spp infectant

  • Profils de résistance connus des souches dans la zone d'acquisition

  • Efficacité et effets indésirables des médicaments disponibles

La sélection du médicament approprié est critique, particulièrement dans les cas d'infections dues à P. falciparum, P. vivax, ou de paludisme grave (1). La polythérapie à base d'artémisinine, telle que l'artéméther/luméfantrine, est le traitement le plus rapidement actif et, dans de nombreuses situations, c'est le traitement de choix. La résistance aux artémisinines a été rapportée mais n'est pas encore fréquente.

En cas de suspicion de P. falciparum, le traitement doit débuter immédiatement, même si le frottis et le test diagnostique rapide initial sont négatifs. La résistance de P. falciparum aux antipaludéens est à présent largement répandue, et P. vivax résistant à la chloroquine est fréquent en Papouasie-Nouvelle-Guinée et en Indonésie et émerge dans d'autres régions (p. ex., Asie du Sud-Est, Asie du Sud, Moyen-Orient, Afrique de l'Est, et les Amériques) (2).

Dans certaines zones d'endémie, une proportion significative des médicaments antipaludéens disponibles localement sont contrefaits. Ainsi, certains recommandent aux voyageurs qui se rendent dans des régions à haut risque de prendre un cycle complet d'un protocole de traitement approprié si un paludisme médicalement constaté est contracté en dépit de la prophylaxie; cette stratégie permet également d'éviter d'épuiser les ressources en médicaments limitées dans le pays de destination.

En cas de maladie fébrile pendant un voyage dans une région d'endémie, un bilan médical immédiat est indispensable. Lorsqu'une évaluation rapide n'est pas possible (p. ex., parce que la région est très isolée), l'auto-médication par l'artéméther/luméfantrine ou atovaquone/proguanil peut être envisagée en attendant l'évaluation. En cas de fièvre chez des voyageurs de retour d'une zone d'endémie et si aucun autre diagnostic n'est porté, un traitement empirique contre le paludisme non compliqué doit être envisagé, même lorsque le frottis pour le paludisme et/ou les tests diagnostiques rapides sont négatifs.

Pour les médicaments recommandés pour le traitement et la prévention du paludisme, voir les tableaux Traitement du paludisme et Médicaments utilisés pour prévenir le paludisme. Les effets indésirables fréquents et les contre-indications sont listés dans le tableau Effets indésirables et contre-indications des médicaments antipaludéens. Voir aussi le site web du CDC (Appendix B: Algorithm for Diagnosing and Treatment for Malaria in the United States) ou, pour une consultation d'urgence sur la prise en charge, contacter le CDC.

Les directives de l'Organisation mondiale de la santé (OMS) pour le diagnostic et le traitement du paludisme fournissent des informations utiles sur les options thérapeutiques spécifiques pour les patients qui ont immigré ou voyagé dans des pays endémiques. Elles incluent également des informations à jour sur les médicaments dérivés de la quinine et sur les vaccins contre le paludisme, y compris ceux en développement (3).

Tableau
Tableau
Tableau
Tableau

Paludisme à P. falciparum

Dans le cas du paludisme à P. falciparum non compliqué, les options orales incluent artéméther/luméfantrine et atovaquone/proguanil. Ces médicaments ne sont pas recommandés pendant la grossesse, en particulier au cours du premier trimestre en raison de données de sécurité insuffisantes, mais ils peuvent être prescrits si d'autres options sont indisponibles ou mal tolérées et si les avantages l'emportent sur les risques. Les patients doivent prendre l'artéméther/luméfantrine et l'atovaquone/proguanil avec de la nourriture ou une boisson grasse comme le lait pour améliorer l'absorption. 

En alternative, la méfloquine peut être administrée; elle peut être prescrite aux adultes et enfants de tous âges, y compris pendant la grossesse. La méfloquine est contre-indiquée chez les patients ayant des antécédents de troubles psychiatriques, de convulsions ou d'anomalies de la conduction cardiaque. Elle est moins efficace contre le paludisme à P. falciparum en Asie du Sud-Est où la résistance est fréquente.

Comme troisième option, le sulfate de quinine plus doxycycline, tétracycline, ou clindamycine peut également être administré. En Asie du Sud-Est, une résistance relative à la quinine a augmenté et un traitement doit être maintenu pendant 7 jours. Dans d'autres régions, le traitement est poursuivi pendant 3 jours. Pour réduire le risque d'effets gastro-intestinaux indésirables, les patients doivent prendre de la quinine avec de la nourriture. La quinine plus la doxycycline ou la tétracycline est généralement préférée à la quinine plus la clindamycine car les données d'efficacité sont plus nombreuses. Les tétracyclines sont contre-indiquées pendant la grossesse et chez l'enfant de < 8 ans.

La chloroquine est une option contre le paludisme à P. falciparum en Haïti, République dominicaine, Amérique centrale à l'ouest et au nord du canal de Panama, et dans certaines parties du Moyen-Orient. Cependant, la résistance à la chloroquine est maintenant répandue parmi P. falciparum ailleurs dans le monde.

En raison du risque d'évolution vers une maladie grave en cas d'infection par P. falciparum, les patients doivent être hospitalisés pour surveiller la réponse clinique et pour vérifier la densité parasitaire toutes les 12 à 24 heures jusqu'à ce que la présentation clinique s'améliore et qu'une diminution de la densité parasitaire apparaisse (4).

Paludisme à P. vivax ou paludisme à P. ovale

L'Organisation mondiale de la santé (OMS) recommande de traiter le paludisme à P. vivax non compliqué avec un schizonticide sanguin comme la chloroquine ou une thérapie combinée à base d'artémisinine pour éliminer les parasites asexués, suivi de primaquine pendant 14 jours pour éradiquer les hypnozoïtes et prévenir les rechutes. Cette approche est appelée cure radicale (3).

Dans les zones sans résistance à la chloroquine, un schéma thérapeutique à 3 médicaments comprenant chloroquine ou hydroxychloroquine, primaquine, et tafénoquine est initié.

Dans les zones où la résistance à la chloroquine est présente, un schéma thérapeutique polymédicamenteux d'artéméther/luméfantrine ou d'atovaquone/proguanil ou de quinine associé à soit de la doxycycline ou une autre tétracycline, soit de la méfloquine associée à de la primaquine ou de la tafénoquine est initié.

L'utilisation de la primaquine orale ou de la tafénoquine nécessite un dépistage préalable du déficit en glucose-6-phosphate déshydrogénase (G6PD) pour prévenir une anémie hémolytique potentielle. La tafénoquine n'est recommandée que chez les patients > 16 ans qui ont reçu de la chloroquine pour le traitement pendant la phase aiguë de la maladie.

Paludisme grave

Le paludisme grave survient typiquement lorsque le traitement du paludisme non compliqué est retardé. Il peut conduire à des complications mettant la vie en danger impliquant plusieurs systèmes d'organes. Sans traitement rapide, le paludisme grave présente un risque élevé de décès.

Le paludisme grave est le plus souvent causé par P. falciparum. Il nécessite un traitement urgent, de préférence par l'artésunate intraveineux, qui est le seul médicament disponible aux États-Unis pour le traitement parentéral du paludisme grave (ou pour les patients qui ne peuvent pas prendre de médicaments par voie orale).

Si l'artésunate IV ne peut être obtenu dans les 24 heures, un traitement oral provisoire doit être commencé par l'artéméther-luméfantrine, l'atovaquone/proguanil, le sulfate de quinine (plus la doxycycline ou la clindamycine IV), ou si rien d'autre n'est disponible, la méfloquine. Chez les patients qui vomissent, un antiémétique peut être utile. Ceux qui ne peuvent pas avaler (p. ex., en raison d'un syndrome confusionnel) peuvent recevoir des comprimés écrasés d'artéméther/luméfantrine ou d'atovaquone/proguanil par une sonde nasogastrique. Par voie orale, l'artéméther/luméfantrine doit être absorbée avec de la nourriture pour améliorer l'absorption, et, si les patients vomissent dans les 30 minutes suivant l'administration, la dose doit être répétée. Dans les régions où le paludisme est endémique, les patients peuvent être traités avec de l'artésunate par voie IM, de l'artésunate par voie rectale, de l'artéméther par voie IM ou de la quinine par voie IM, avec un suivi accéléré dans un centre de référence pour l'administration d'artésunate par voie IV (1).

Les groupes suivants sont à haut risque de maladie grave et peuvent avoir des options de traitement limitées dans certains cas:

  • Enfants < 5 ans d'âge (la mortalité est la plus élevée chez ceux < 2 ans)

  • Patientes enceintes

  • Sujets infectés par le VIH ou qui sont immunodéprimés pour d'autres raisons

  • Visiteurs précédemment non exposés dans les zones endémiques

En raison du risque d'hémolyse retardée, une complication fréquente du paludisme hyperparasitémique traité par l'artésunate IV (5), les taux d'hémoglobine doivent être surveillés pendant 4 semaines après le traitement.

Pièges à éviter

  • Le temps est essentiel pour traiter le paludisme grave. Commencer le traitement par l'artésunate IV dès que possible. Commencer un traitement oral provisoire avec d'autres médicaments si l'artésunate IV n'est pas immédiatement disponible. 

Références pour le traitement

  1. 1. Daily JP, Parikh S. Malaria. N Engl J Med. 2025;392(13):1320-1333. doi:10.1056/NEJMra2405313

  2. 2. Ferreira MU, Nobrega de Sousa T, Rangel GW, et al: Monitoring Plasmodium vivax resistance to antimalarials: persisting challenges and future directions. Int J Parasitol Drug-Drug Resist. 2021;15:9-24. doi:10.1016/j.ijpddr.2020.12.001

  3. 3. World Health Organization (WHO). WHO guidelines for malaria. 2024.

  4. 4. Centers for Disease Control and Prevention (CDC). Alternative and Novel Drug Based Prevention Approaches. Accessed March 20, 2025.

  5. 5. Aldámiz-Echevarría LT, López-Polín A, Norman FF, et al. Delayed haemolysis secondary to treatment of severe malaria with intravenous artesunate: Report on the experience of a referral centre for tropical infections in Spain. Travel Med Infect Dis. 2017;15:52-56. doi:10.1016/j.tmaid.2016.10.013

Prévention des rechutes de la malaria à P. vivax ou P. ovale

Les hypnozoïtes doivent être éliminés du foie avec de la primaquine ou la tafénoquine pour éviter les rechutes de P. vivax ou de P. ovale. La primaquine ou la tafénoquine doit être administrée simultanément à la chloroquine ou dans un second temps. Certaines souches de P. vivax sont moins sensibles, et des récidives peuvent se produire, nécessitant la répétition du traitement. La primaquine n'est pas nécessaire contre P. falciparum ou P. malariae car ces espèces n'ont pas de phase hépatique persistante.

Si l'exposition à P. vivax ou à P. ovale est intense ou prolongée ou si le voyageur est asplénique, un traitement prophylactique de 14 jours commencé au retour du voyage par la primaquine ou une dose unique de tafénoquine réduit le risque de récidive. Le principal effet indésirable est l'hémolyse chez le patient présentant un déficit en glucose-6-phosphate déshydrogénase (G6PD). Les taux de G6PD doivent être déterminés avant l'administration de primaquine ou de la tafénoquine.

La primaquine est contre-indiquée pendant la grossesse et l'allaitement, sauf s'il a été démontré que l'enfant n'avait pas de déficit en G6PD. Chez les femmes enceintes, la chimioprophylaxie par la chloroquine hebdomadaire peut être administrée pour le reste de la grossesse et après l'accouchement, les femmes peuvent recevoir de la primaquine, à condition qu'elles n'aient pas de déficit en G6PD.

Prévention du paludisme

Il existe plusieurs approches pour la prévention du paludisme, notamment des mesures pour prévenir les piqûres de moustiques, une chimioprophylaxie par médicaments antipaludiques et des vaccins pour certains patients.

Des anticorps monoclonaux destinés à la prévention du paludisme sont en développement avec des profils de sécurité et d'efficacité prometteurs (1).

Mesures prophylactiques contre les moustiques

Les mesures prophylactiques contre les moustiques comprennent les suivantes:

  • Effectuer des pulvérisations d'insecticides résiduels à la perméthrine ou au pyrèthre (qui ont une action prolongée) à l'intérieur de la maison ainsi que dans les dépendances

  • Placer des moustiquaires sur les portes et fenêtres

  • Utiliser une moustiquaire (de préférence imprégnée de perméthrine ou de pyrèthre) sur les lits

  • Traiter les vêtements et les équipements (p. ex., bottes, pantalons, chaussettes, tentes) avec des produits contenant de la perméthrine à 0,5%, qui restent protecteurs pendant plusieurs lavages (des vêtements prétraités sont disponibles et peuvent protéger plus longtemps)

  • Appliquer des répulsifs pour moustiques tels que le DEET (diéthyltoluamide) 25 à 35% sur la peau exposée

  • Porter des chemises à manches longues et des pantalons, en particulier entre le crépuscule et l'aube, quand les moustiques Anopheles sont actifs

Les sujets qui prévoient d'utiliser des répulsifs contenant du DEET doivent être informés de ce qui suit:

  • Appliquer des répulsifs seulement sur la peau exposée selon les indications de l'étiquette et les utiliser avec parcimonie autour des oreilles (et ils ne doivent pas être appliqués ou pulvérisés sur les yeux ou la bouche).

  • Se laver les mains après l'application.

  • Ne pas laisser les enfants manipuler les répulsifs (les adultes doivent appliquer le répulsif sur leurs mains en premier, puis l'étaler doucement sur la peau de l'enfant).

  • Appliquer juste assez de répulsif pour couvrir la zone exposée.

  • Laver le répulsif au retour en intérieur.

  • Laver les vêtements avant de les porter à nouveau, sauf indication contraire de l'étiquette du produit.

La plupart des répulsifs peuvent être utilisés sur les nourrissons et les enfants de < 2 mois. L'Environmental Protection Agency ne recommande pas de précautions supplémentaires dans l'utilisation de répulsifs enregistrés sur les enfants ou les femmes enceintes ou qui allaitent.

Chimioprophylaxie avec des médicaments antipaludiques

Les voyageurs en régions d'endémie doivent recevoir une chimioprophylaxie (voir tableau Médicaments utilisés pour prévenir le paludisme). Des informations sur les pays où le paludisme est endémique, les profils de résistance et la prophylaxie recommandée sont disponibles auprès du CDC (voir Yellow Fever Vaccine and Malaria Prevention Information, by Country).

Pour la chimioprophylaxie, l'atovaquone/proguanil et la doxycycline sont initiés 1 à 2 jours avant le voyage et sont pris pendant la durée du voyage. L'atovaquone/proguanil est poursuivi pendant 7 jours et la doxycycline pendant 4 semaines après avoir quitté la région.

La primaquine est utilisée en prophylaxie terminale (traitement radical) pour réduire le risque de rechute chez les sujets qui ont pris de la chloroquine, de l'hydroxychloroquine ou un médicament actif contre le paludisme résistant à la chloroquine en prophylaxie pour une exposition prolongée à P. vivax et/ou à P. ovale. Comme alternative, une dose unique de tafénoquine peut être utilisée chez les patients qui ont reçu de la chloroquine en prophylaxie de P. vivax. La primaquine ou tafénoquine seule peut également être utilisée pour la prophylaxie primaire chez les sujets à risque de paludisme, en particulier dû à P. vivax. La primaquine et la tafénoquine sont contre-indiquées chez les sujets présentant un déficit en G6PD et chez les femmes enceintes ou qui allaitent (à moins que le nourrisson allaité au sein ait un taux de G6PD normal).

Tableau
Tableau

Le paludisme pendant la grossesse est une menace sérieuse pour la mère et le fœtus. La chloroquine peut être utilisée pendant la grossesse dans les régions où les espèces de Plasmodium sont sensibles. Les patientes enceintes doivent toujours éviter de voyager dans les zones résistantes à la chloroquine dans la mesure du possible. Le traitement du paludisme pendant la grossesse dépend des espèces de Plasmodium infectants et des profils de résistance connus dans la zone de contage (voir CDC: Treatment of Malaria: Guidelines For Clinicians (United States): Alternatives for Pregnant Women).

La méfloquine peut être prescrite aux adultes et aux enfants de tous âges, y compris pendant la grossesse et l'allaitement. La doxycycline, l'atovaquone/proguanil, la primaquine et la tafénoquine ne doivent pas être utilisées pendant la grossesse.

Les artémisinines ont une demi-vie courte et ne sont pas utiles en prophylaxie.

Vaccination

En octobre 2021, l'Organisation Mondiale de la Santé (OMS) a recommandé l'utilisation généralisée du vaccin contre le paludisme RTS,S/AS01 (RTS,S) chez les enfants en Afrique subsaharienne et dans d'autres régions où la transmission du paludisme à P. falciparum est modérée à élevée. Ce vaccin s'est depuis avéré réduire significativement l'infection palustre chez les jeunes enfants.

En octobre 2023, l'OMS a recommandé un second vaccin antipaludéen sûr et efficace, R21/Matrix-M. (See WHO: Malaria vaccines (RTS,S and R21).)

Référence pour la prévention

  1. 1. Wang LT, Idris AH, Kisalu NK, Crompton PD, Seder RA. Monoclonal antibodies to the circumsporozoite proteins as an emerging tool for malaria prevention. Nat Immunol. 2024;25(9):1530-1545. doi:10.1038/s41590-024-01938-2

Points clés

  • En 2023, on estimait que 263 millions de personnes souffraient du paludisme dans le monde et que 597 000 décès connus survenaient, principalement chez les enfants de < 5 ans en Afrique; depuis 2000, les décès dus au paludisme ont diminué d'environ 60%.

  • Plasmodium falciparum provoque une obstruction microvasculaire et une ischémie tissulaire, notamment dans le cerveau, les reins, les poumons, le tractus gastro-intestinal des nourrissons et des adultes non immunisés; les patients peuvent mourir en quelques jours après les premiers symptômes.

  • P. vivax, P. ovale, et P. malariae ne compromettent pas, habituellement, les organes vitaux; la mortalité est rare. L'ensemble du spectre clinique du paludisme peut survenir avec P. knowlesi. Son court cycle de réplication asexuée peut entraîner une parasitémie élevée et une maladie grave, potentiellement mortelle si elle n'est pas traitée.

  • Les manifestations comprennent de la fièvre et des frissons récurrents, des céphalées, des myalgies, des vomissements, de la diarrhée et des nausées; l'anémie hémolytique et la splénomégalie sont fréquentes.

  • Diagnostiquer par examen microscopique optique du sang (frottis mince et goutte épaisse) et d'autres examens sanguins diagnostiques rapides; des tests PCR basés sur l'ADN et les anticorps sont disponibles via un centre de recherche.

  • Le traitement consiste en des médicaments antipaludéens en fonction des espèces (si connues) et les profils de résistance aux médicaments dans la zone dans laquelle l'infection a été contractée.

  • Le traitement à base d'artémisinine (p. ex., artéméther/luméfantrine, artésunate, autres composés de l'artémisinine) est le plus rapidement actif; l'atovaquone plus proguanil est une alternative en cas de paludisme non compliqué.

  • Utiliser la primaquine ou la tafénoquine dans les infections confirmées ou suspectées à P. vivax et P. ovale pour prévenir la rechute à moins que les patientes ne soient enceintes ou allaitantes ou présentent un déficit en G6PD ou dont le statut G6PD est inconnu.

  • Un paludisme grave nécessite un traitement urgent. En raison du risque d'évolution vers une maladie grave en cas d'infection à P. falciparum, les patients doivent être hospitalisés dès que possible pour surveiller la réponse clinique.

  • Administrer la chimioprophylaxie aux personnes voyageant vers les régions d'endémies, et leur apprendre à éviter les piqûres de moustique.

quizzes_lightbulb_red
TESTEZ VOS CONNAISSANCESTake a Quiz!
iOS ANDROID
iOS ANDROID
iOS ANDROID