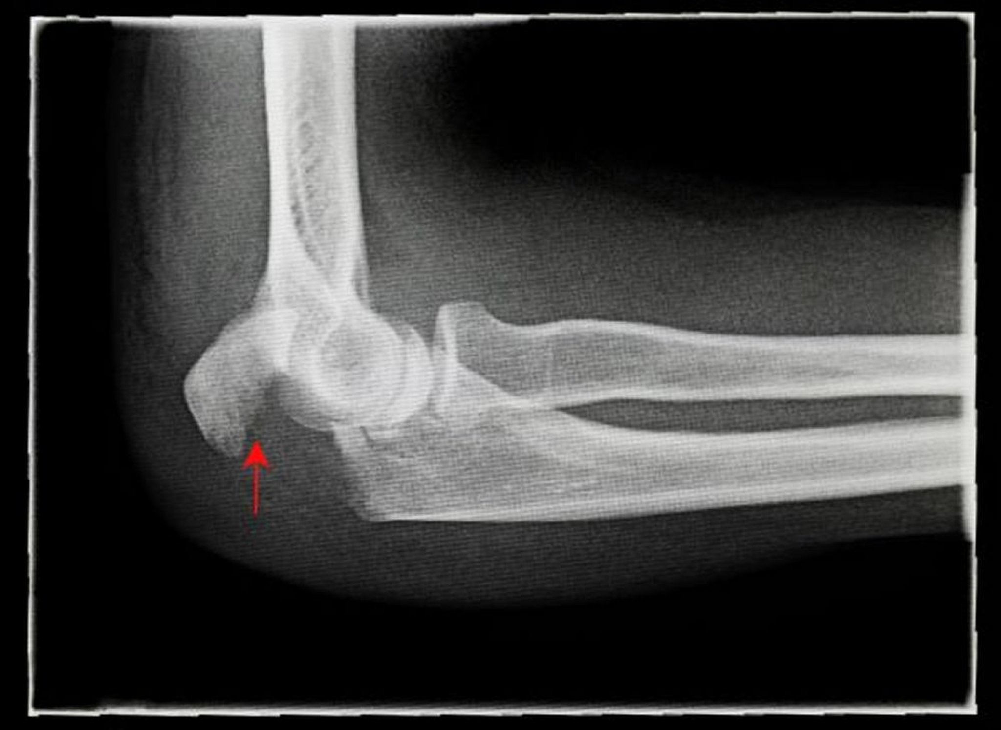
Fracture de l’olécrane avec déplacement
Cette radiographie montre une vue latérale d’une fracture de l’olécrane avec déplacement (flèche).
ANTONIA REEVE/SCIENCE PHOTO LIBRARY
Dans ces sujets
Cette radiographie montre une vue latérale d’une fracture de l’olécrane avec déplacement (flèche).
ANTONIA REEVE/SCIENCE PHOTO LIBRARY