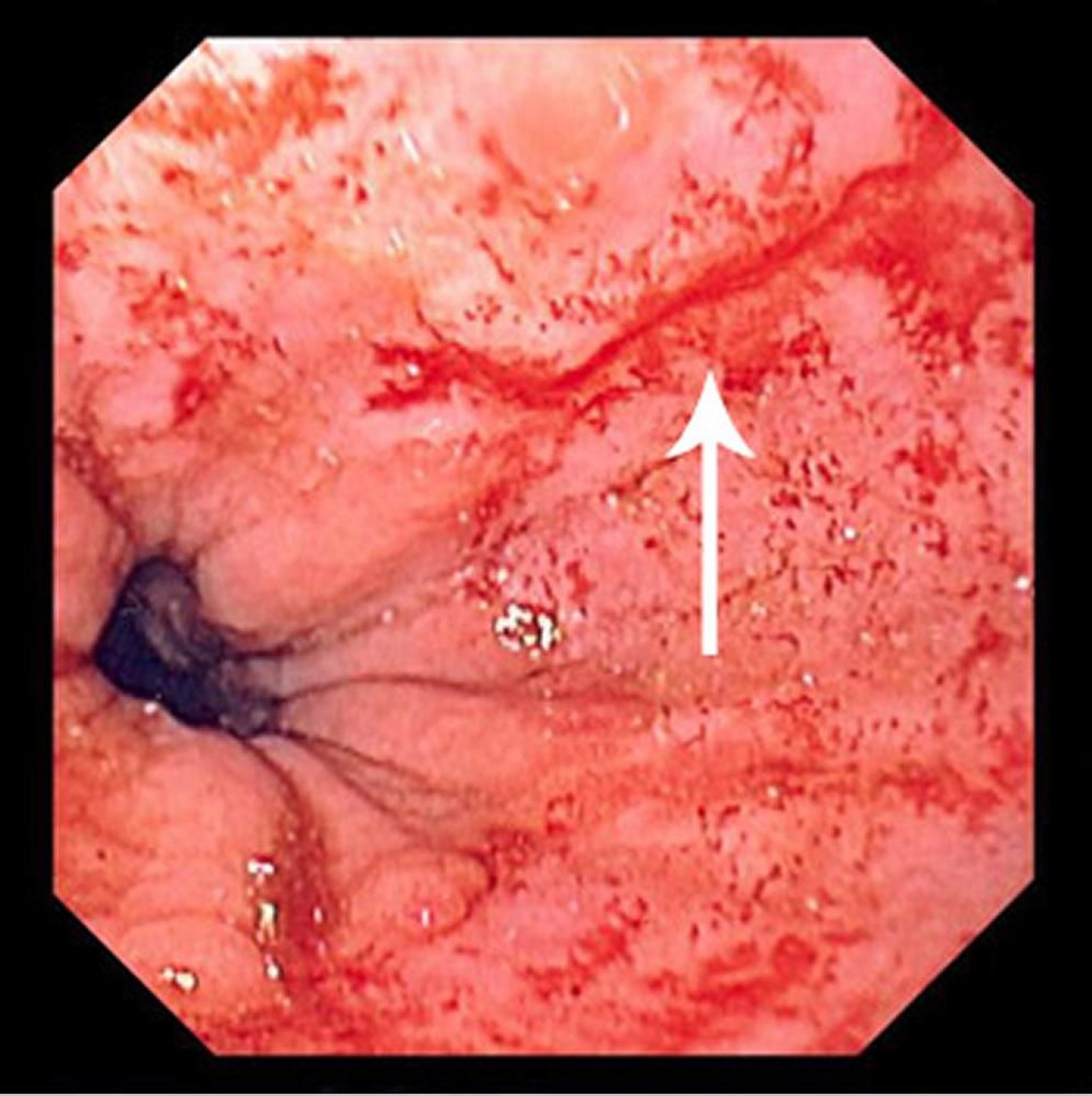
Déchirure de Mallory-Weiss
Cette photographie montre une fine déchirure de Mallory-Weiss (flèche).
Image fournie par le Dr David M. Martin.
Dans ces sujets
Cette photographie montre une fine déchirure de Mallory-Weiss (flèche).
Image fournie par le Dr David M. Martin.