El duodeno puede obstruirse por atresia, estenosis y compresión de una masa extrínseca. La atresia duodenal y otras causas de obstrucción duodenal se asocian con frecuencia con el síndrome de Down. El diagnóstico se realiza con pruebas de diagnóstico por imágenes. El tratamiento consiste en reparación quirúrgica.
(Véase también Generalidades sobre las anomalías digestivas congénitas).
Atresia duodenal
La atresia duodenal es la segunda atresia en orden de frecuencia del aparato digestivo. La incidencia estimada es de 1 cada 10.000 nacidos vivos (1). La atresia duodenal se debe a la falta de canalización del duodeno embrionario. Esta falla puede estar relacionada con un evento isquémico o con factores genéticos.
La atresia duodenal, a diferencia de otras atresias intestinales, suele asociarse con otras anomalías congénitas; aproximadamente 25 a 40% de los lactantes con atresia duodenal tienen síndrome de Down (1). Otras anomalías asociadas incluyen VACTERL (anomalías vertebrales, atresia anal, malformaciones cardíacas, fístula traqueoesofágica, atresia esofágica, anomalías renales y aplasia radial, y anomalías de las extremidades [limb, en inglés]), malrotación, páncreas anular, anomalías del tracto biliar y anomalías mandibulofaciales.
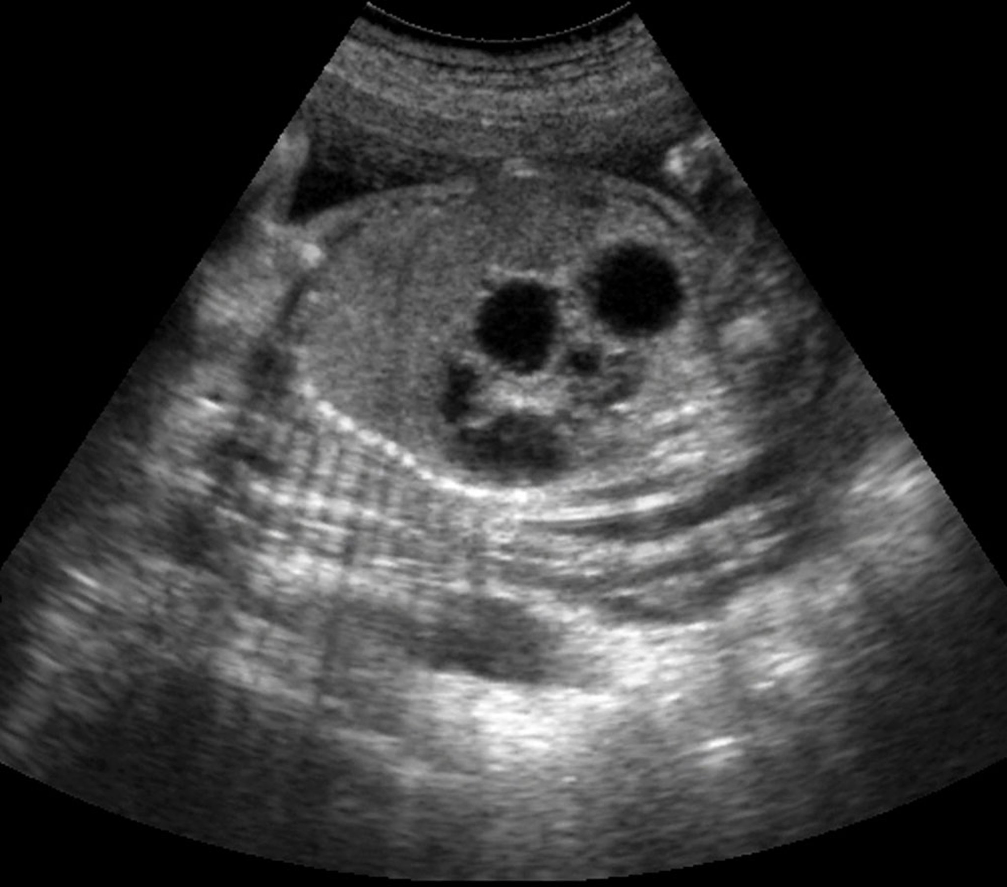
El diagnóstico de atresia duodenal se sospecha antes del nacimiento si hay polihidramnios y/o dilatación del estómago. La ecografía prenatal puede detectar un signo de doble burbuja (una gran burbuja gástrica y una burbuja duodenal proximal más pequeña) en hasta el 80% de los casos (2).
Esta imagen de ecografía muestra el signo de doble burbuja en un feto con atresia duodenal.
DR NAJEEB LAYYOUS/SCIENCE PHOTO LIBRARY
Esta radiografía muestra el típico signo de doble burbuja observado en la obstrucción duodenal completa. La burbuja más pequeña representa el duodeno proximal dilatado (flecha blanca); la burbuja más grande representa el estómago (flecha negra). Este signo puede observarse en la atresia duodenal, la membrana duodenal, el páncreas anular y la vena porta preduodenal. En raras ocasiones, también se puede ver con obstrucción duodenal completa como resultado de la presencia de bandas de Ladd en un paciente con malrotación.
Después del nacimiento, los lactantes con atresia duodenal presentan dificultades alimentarias y vómitos, que pueden ser biliosos. El diagnóstico se sospecha por los síntomas y los hallazgos radiográficos clásicos de doble burbuja que muestran que una burbuja está en el estómago y la otra está en el duodeno proximal y que hay poco o nada de aire en el intestino distal. Si bien una seriada gastroduodenal permite el diagnóstico definitivo, esta debe ser realizada de manera cuidadosa por un radiólogo experimentado en realizar este procedimiento en niños para evitar la aspiración, y no es necesaria si se realizará cirugía en forma inmediata. Si la cirugía se debe retrasar (p. ej., debido a otros problemas médicos, como un síndrome de dificultad respiratoria, o la necesidad de estabilización del lactante), se debe realizar un enema de contraste para confirmar que el signo de doble burbuja no se debe a malrotación.
Una vez que se sospecha el diagnóstico, los lactantes no deben recibir aporte oral y debe colocarse una sonda nasogástrica para descomprimir el estómago.
El tratamiento definitivo es la cirugía.
Estenosis duodenal
Esta anomalía es menos frecuente que la atresia duodenal, pero sus manifestaciones son similares y requiere cirugía. También se asocia con frecuencia a síndrome de Down.
Quiste coledociano
Un quiste coledociano puede obstruir el duodeno por compresión extrínseca. La incidencia varía de aproximadamente 1 cada 100.000 personas en los Estados Unidos o Europa a 1 cada 13.000 en Japón (3). Más de la mitad de los casos notificados se producen en Japón. Hay algunas pruebas de que la incidencia de quistes coledocianos está en aumento (4).
Clásicamente, los lactantes con quiste coledociano presentan una tríada de dolor abdominal (un hallazgo muy difícil de inferir en el recién nacido), masa en el cuadrante superior derecho e ictericia. Si el quiste es grande, también puede manifestarse por grados variables de obstrucción duodenal. Los recién nacidos pueden presentar colestasis. En algunos lactantes, la pancreatitis es un hallazgo asociado.
La mayoría de las veces, el quiste coledociano se diagnostica por ecografía. Estos quistes se pueden definir aún mejor mediante el uso de colangiopancreatografía por resonancia magnética, colangiopancreatografía retrógrada endoscópica (CPRE), o ecografía endoscópica.
El tratamiento del quiste coledociano es quirúrgico y requiere resección completa del quiste debido al riesgo elevado (7 a 30%) de desarrollar cáncer en los remanentes del quiste (5, 6). El procedimiento quirúrgico más utilizado es una hepatoyeyunostomía en Y de Roux. Este procedimiento se realiza típicamente por vía laparoscópica. Algunos estudios recientes han señalado que el resultado puede mejorar con la cirugía asistida por robótica El riesgo de cáncer se reduce con la resección completa, pero no se elimina (7).
Páncreas anular
El páncreas anular es una anomalía congénita rara (5 a 15/100.000 nacidos vivos) (8) y se asocia con frecuencia con síndrome de Down. En esta anomalía, el tejido pancreático rodea la segunda porción del duodeno y causa una obstrucción duodenal.
Alrededor de dos terceras partes de las personas afectadas permanecen asintomáticas. De los que desarrollan síntomas, la mayoría se presenta en el período neonatal, pero la presentación clínica se puede retrasar hasta la edad adulta. Los recién nacidos presentan trastornos alimentarios y vómitos, que pueden ser biliosos.
El diagnóstico del páncreas anular puede ser sugerido por una radiografía de abdomen que muestra el mismo signo de la doble burbuja que se ve en la atresia duodenal. El diagnóstico también puede realizarse mediante una seriada gastrointestinal y es más definitivo mediante TC o colangiopancreatografía por resonancia magnética. En niños mayores puede hacerse colangiopancreatografía retrógrada endoscópica (CPRE).
El tratamiento del páncreas anular es la derivación quirúrgica del órgano con duodenoduodenostomía o gastroyeyunostomía. La resección del páncreas se debe evitar debido a las posibles complicaciones de la pancreatitis y el desarrollo de una fístula pancreática.
Malrotación
La obstrucción duodenal debido a malrotación es rara y se incluye en una proporción de lactantes con malrotación "sintomática" (1/2500 a 6000) (9).
Referencias
1. Bethell GS, Long AM, Knight M, Hall NJ; BAPS-CASS. Congenital duodenal obstruction in the UK: a population-based study. Arch Dis Child Fetal Neonatal Ed. 2020;105(2):178-183. doi:10.1136/archdischild-2019-317085
2. Engwall-Gill AJ, Zhou AL, Penikis AB, et al. Prenatal sonography in suspected proximal gastrointestinal obstructions: Diagnostic accuracy and neonatal outcomes. J Pediatr Surg. 2023;58(6):1090-1094. doi: 10.1016/j.jpedsurg.2023.02.029
3. Soares KC, Kim Y, Spolverato G, et al. Presentation and clinical outcomes of choledochal cysts in children and adults: a multi-institutional analysis. JAMA Surg. 2015;150(6):577-584. doi:10.1001/jamasurg.2015.0226
4. Ohashi T, Wakai T, Kubota M, et al. Risk of subsequent biliary malignancy in patients undergoing cyst excision for congenital choledochal cysts. J Gastroenterol Hepatol. 2013;28(2):243-247. doi:10.1111/j.1440-1746.2012.07260.x
5. Søreide K, Søreide JA. Bile duct cyst as precursor to biliary tract cancer. Ann Surg Oncol. 2007;14(3):1200-1211. doi:10.1245/s10434-006-9294-3
6. Frenette C, Mendiratta-Lala M, Salgia R, Wong RJ, Sauer BG, Pillai A. ACG Clinical Guideline: Focal Liver Lesions. Am J Gastroenterol. 2024;119(7):1235-1271. doi:10.14309/ajg.0000000000002857
7. Bloomfield GC, Nigam A, Calvo IG, et al. Characteristics and malignancy rates of adult patients diagnosed with choledochal cyst in the West: a systematic review. J Gastrointest Surg. 2024;28(1):77-87. doi:10.1016/j.gassur.2023.11.007
8. Alkhayyat M, Bachour S, Abou Saleh M, et al. The epidemiology of annular pancreas in the United States: a population-based study. J Clin Gastroenterol. 2022;56(2):186-191. doi:10.1097/MCG.0000000000001531
9. Salehi Karlslätt K, Husberg B, Ullberg U, Nordenskjöld A, Wester T. Intestinal Malrotation in Children: Clinical Presentation and Outcomes. Eur J Pediatr Surg. 2024;34(3):228-235. doi:10.1055/s-0043-1764239



