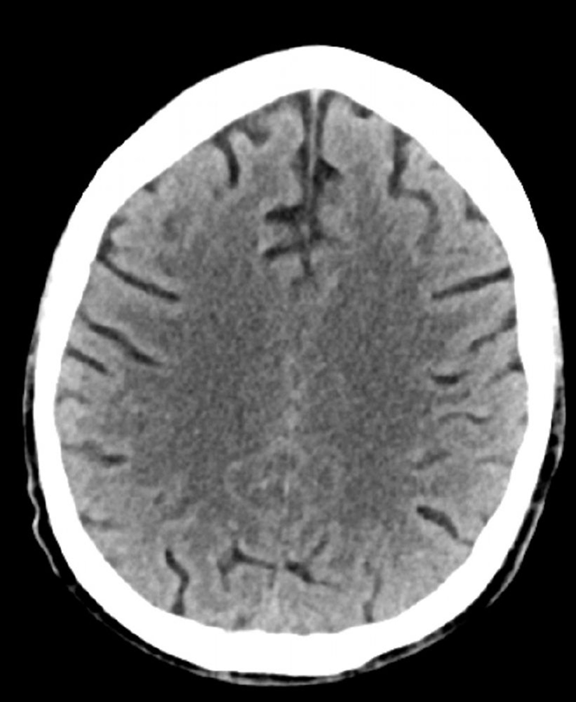
Tomografía computarizada craneal normal (adulto, 74 años)–diapositiva 2
Esta imagen es una tomografía computarizada craneal normal correspondiente a un adulto de 74 años. Cuando se compara con la TC normal de la cabeza de un paciente de 30 años, los surcos son más grandes. Estos son hallazgos normales en este grupo de edad.
© 2017 Elliot K. Fishman, MD.
En estos temas
