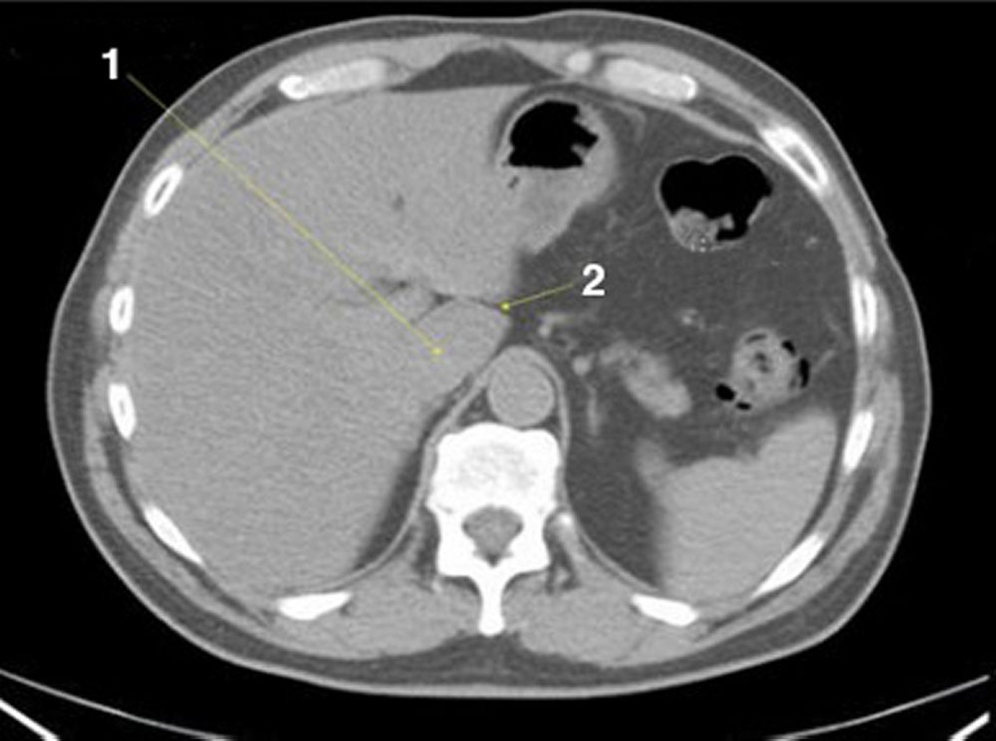
Tomografía computarizada sin contraste de abdomen y pelvis que muestra anatomía normal (corte 4)
1 = lóbulo caudado del hígado; 2 = fisura del ligamento venoso.
© Springer Science+Business Media
En estos temas
1 = lóbulo caudado del hígado; 2 = fisura del ligamento venoso.
© Springer Science+Business Media