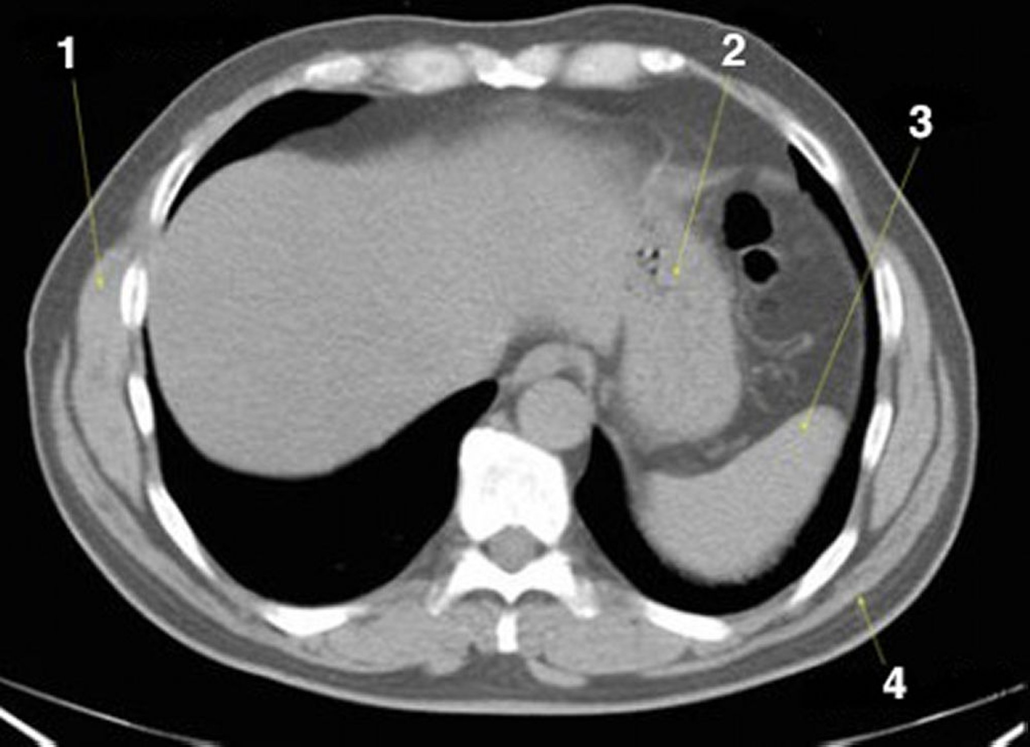
Tomografía computarizada sin contraste de abdomen y pelvis que muestra anatomía normal (corte 2)
1 = serrato anterior; 2 = estómago; 3 = bazo; 4 = dorsal ancho.
© Springer Science+Business Media
En estos temas
1 = serrato anterior; 2 = estómago; 3 = bazo; 4 = dorsal ancho.
© Springer Science+Business Media