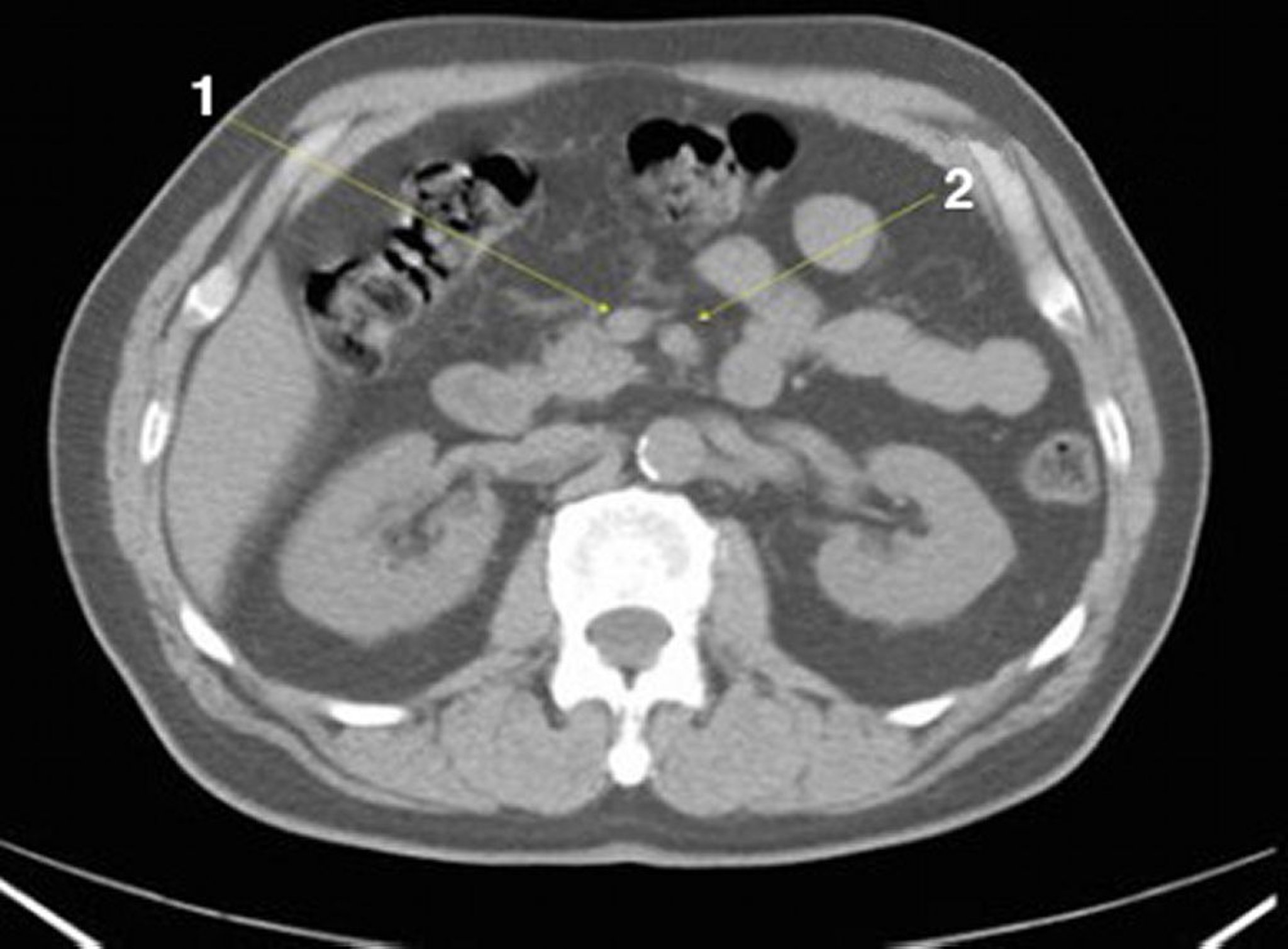
Tomografía computarizada sin contraste de abdomen y pelvis que muestra anatomía normal (corte 13)
1 = vena mesentérica superior; 2 = arteria mesentérica superior.
© Springer Science+Business Media
En estos temas
1 = vena mesentérica superior; 2 = arteria mesentérica superior.
© Springer Science+Business Media