Tomografía computarizada con contraste que muestra arterias coronarias normales–diapositiva 6
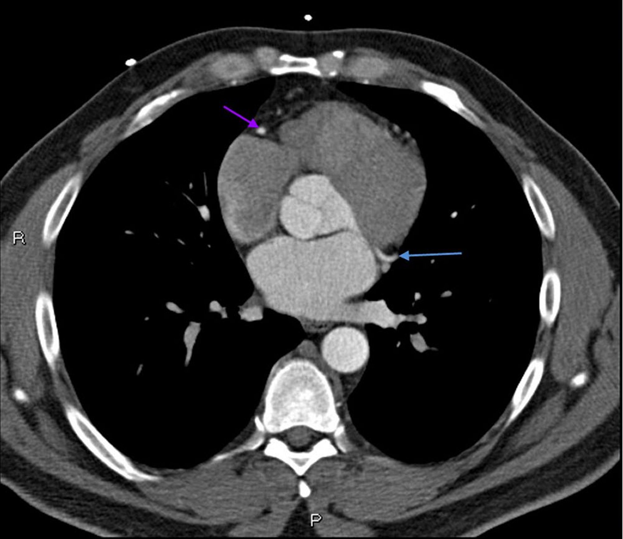
Esta TC con contraste muestra arterias coronarias normales. La arteria principal izquierda está indicada por la flecha roja. Las arterias descendente anterior izquierda y circunfleja izquierda están indicadas por las flechas verde y azul respectivamente, y la arteria coronaria derecha está indicada por la flecha púrpura.
© 2017 Elliot K. Fishman, MD.
En estos temas
