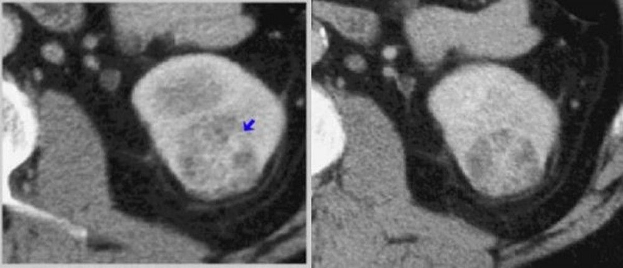
Tomografía computarizada con contraste del riñón (fases corticomedular y nefrogénica)
A la izquierda, una TC en fase corticomedular muestra un tumor con realce de contraste heterogéneo (flecha). A la derecha, una TC en fase nefrográfica define mejor el tumor.
© Springer Science+Business Media
En estos temas
